- Tel: 858.663.9055
- 
									 Email: info@nsjbio.com Email: info@nsjbio.com
- Tel: 858.663.9055
- Email: info@nsjbio.com
 Email: info@nsjbio.com
Email: info@nsjbio.com
								Related Products
| 
 | 
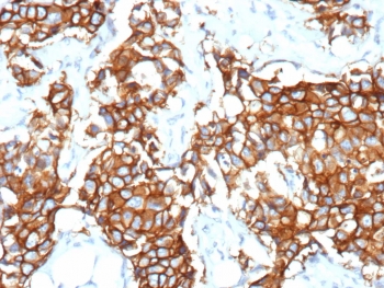
C-erbB-2/HER-2 is a member of the EGFR family. Receptors of this family are located on the plasma membrane and consist of an extracellular ligand-binding domain that is connected to a large intracellular domain by a single transmembrane sequence. c-erbB-2/HER-2 protein is over-expressed in a variety of carcinomas especially those of breast and ovary.
Optimal dilution of the recombinant ErbB2 antibody should be determined by the researcher.
Recombinant protein corresponding to the cytoplasmic domain (within amino acids 955-1255) of human c-erbB2/HER-2 was used as the immunogen for the recombinant ErbB2 antibody.
Aliquot the recombinant ErbB2 antibody and store frozen at -20oC or colder. Avoid repeated freeze-thaw cycles.
 
Your bulk quote request has been submitted successfully!
Please contact us if you have any questions.