• Tel: 858.663.9055
  • SeparatorEmail: info@nsjbio.com
  • Tel: 858.663.9055
  • Email: info@nsjbio.com
Home >> Antibodies >> Recombinant Cytokeratin 18 Antibody

Recombinant Cytokeratin 18 Antibody [clone rKRT18/1190] (V7922)

  Catalog No Formulation Size Price (USD)  
Image V7922-100UG 0.2 mg/ml in 1X PBS with 0.1 mg/ml BSA (US sourced) and 0.05% sodium azide 100 ug 559
Image
V7922-20UG 0.2 mg/ml in 1X PBS with 0.1 mg/ml BSA (US sourced) and 0.05% sodium azide 20 ug 259
Image
V7922SAF-100UG 1 mg/ml in 1X PBS; BSA free, sodium azide free 100 ug 559
Microvalidated Recmousemono
Bulk quote request
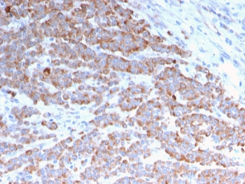
IHC staining of FFPE human colon carcinoma with recombinant Cytokeratin 18 antibody (clone rKRT18/1190). HIER: boil tissue sections in pH 9 10mM Tris with 1mM EDTA for 20 min and allow to cool before testing.
IHC staining of FFPE human colon carcinoma with recombinant Cytokeratin 18 antibody (clone rKRT18/1190). HIER: boil tissue sections in pH 9 10mM Tris with 1mM EDTA for 20 min and allow to cool before testing.
Western blot testing of human samples with recombinant Cytokeratin 18 antibody. Predicted molecular weight ~48 kDa.
Availability 1-3 business days
Species Reactivity Human, Mouse, Rat
Format Purified
Host Mouse
Clonality Recombinant Mouse Monoclonal
Isotype Mouse IgG1, kappa
Clone Name rKRT18/1190
Purity Protein G affinity chromatography
UniProt P05783
Localization Cytoplasmic
Applications Immunofluorescence : 1-2ug/ml
Western Blot : 1-2ug/ml
Immunohistochemistry (FFPE) : 1-2ug/ml
Limitations This recombinant Cytokeratin 18 antibody is available for research use only.
Review this product on BioCompare and get a $20 Amazon gift card

Related Products

Description

Recombinant Cytokeratin 18 antibody reacts with a wide variety of simple epithelia. It does not react with stratified squamous epithelia. It reacts with epithelial tumors of the gastrointestinal tract, lung, breast, pancreas, ovary, and thyroid. Cytokeratin 18, which belongs to the type A (acidic) subfamily of low molecular weight keratins, exists in combination with cytokeratin 8. It was reported that tissues from gastrointestinal tract are positive for both cytokeratin 8 and 18 but do not contain cytokeratin 14. Tissues from gastrointestinal tract, respiratory tract and urogenital tract, as well as endocrine and exocrine tissues and mesothelial cells are positive for cytokeratin 18.

Application Notes

Optimal dilution of the recombinant Cytokeratin 18 antibody should be determined by the researcher.

Immunogen

Recombinant human KRT18 protein was used as the immunogen for the recombinant Cytokeratin 18 antibody.

Storage

Store the recombinant Cytokeratin 18 antibody at 2-8oC (with azide) or aliquot and store at -20oC or colder (without azide).

Cross
Bulk Quote Request Form
Name*:
Organization*:
Email*:
Phone Number*:
Catalog No.*:
Comments and Specifics(amount, formulation, etc.)*:
Validation code: Captchapackage Image


Can't read the image? click here to refresh.
    *required field

Your bulk quote request has been submitted successfully!

Please contact us if you have any questions.