• Tel: 858.663.9055
  • SeparatorEmail: info@nsjbio.com
  • Tel: 858.663.9055
  • Email: info@nsjbio.com
Home >> Antibodies >> CNN1 Antibody / Calponin-1

CNN1 Antibody / Calponin-1 [clone rCNN1/9164] (V5560)

  Catalog No Formulation Size Price (USD)  
Image V5560-100UG 0.2 mg/ml in 1X PBS with 0.1 mg/ml BSA (US sourced), 0.05% sodium azide 100 ug 559
Image
V5560-20UG 0.2 mg/ml in 1X PBS with 0.1 mg/ml BSA (US sourced), 0.05% sodium azide 20 ug 259
Image
V5560SAF-100UG 1 mg/ml in 1X PBS; BSA free, sodium azide free 100 ug 559
Microvalidated Recmousemono
Bulk quote request
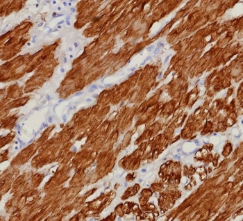
Immunohistochemistry of CNN1 Antibody in human uterus. Formalin-fixed, paraffin-embedded human uterine tissue stained with recombinant CNN1 antibody (clone rCNN1/9164) demonstrates strong cytoplasmic staining of smooth muscle cells within the myometrium, consistent with Calponin-1 expression in contractile smooth muscle fibers. Endometrial glandular epithelium shows minimal staining. Heat-induced epitope retrieval was performed by boiling tissue sections in pH 9 10mM Tris with 1mM EDTA for 20 minutes followed by cooling prior to testing.
IHC staining of FFPE human uterus tissue with CNN1 antibody (clone rCNN1/9164). HIER: boil tissue sections in pH 9 10mM Tris with 1mM EDTA for 20 min and allow to cool before testing.
SDS-PAGE analysis of purified, BSA-free CNN1 antibody (clone rCNN1/9164) as confirmation of integrity and purity.
Availability 1-3 business days
Species Reactivity Human
Format Purified
Host Mouse
Clonality Recombinant Mouse Monoclonal
Isotype Mouse IgG2b, kappa
Clone Name rCNN1/9164
Purity Protein A/G affinity
UniProt P51911
Localization Cytoplasm
Applications Immunohistochemistry (FFPE) : 1-2ug/ml
Limitations This CNN1 antibody is available for research use only.
Review this product on BioCompare and get a $20 Amazon gift card

Related Products

Description

CNN1 antibody recognizes Calponin-1, an actin-binding protein encoded by the CNN1 gene and a well-established marker of smooth muscle differentiation. Recombinant CNN1 Antibody (clone rCNN1/9164) is a mouse monoclonal antibody generated through recombinant expression to support consistent performance and lot-to-lot reproducibility in research applications. Calponin-1 localizes predominantly to the cytoplasm of smooth muscle cells, where it associates with actin filaments and regulates contractile activity and cytoskeletal organization.

CNN1 antibody, also referred to as Calponin-1 antibody and basic calponin antibody in the literature, targets a member of the calponin family of actin-binding proteins. Calponin-1 contains calponin homology domains and actin-binding regions that enable interaction with actin, tropomyosin, and other cytoskeletal proteins. Through these interactions, Calponin-1 modulates actomyosin ATPase activity and contributes to maintenance of the contractile phenotype in differentiated smooth muscle cells.

CNN1 expression is characteristic of vascular smooth muscle, gastrointestinal smooth muscle, uterine smooth muscle, and myoepithelial cells of glandular tissues such as breast and salivary gland. The expected immunohistochemical pattern is cytoplasmic staining in smooth muscle layers and myoepithelial cell populations. Because of this lineage-restricted distribution, Calponin-1 serves as a reliable research marker for identifying smooth muscle and myoepithelial differentiation in normal tissues.

In tumor biology research, Calponin-1 expression is frequently evaluated in studies of leiomyoma, leiomyosarcoma, myoepithelial tumors, and other mesenchymal neoplasms. Cytoplasmic staining supports smooth muscle or myoepithelial lineage, whereas most epithelial carcinomas and non-mesenchymal malignancies demonstrate limited or absent expression. CNN1 Antibody (clone rCNN1/9164) enables reliable detection of Calponin-1 expression patterns in normal and neoplastic tissues for research use at NSJ Bioreagents.

This CNN1 antibody complements a related Calponin 1 antibody targeting CNN1 and smooth muscle-associated contractile protein biology.

Application Notes

Optimal dilution of the CNN1 antibody should be determined by the researcher.

Immunogen

A recombinant fragment (within amino acids 1-200) of human CNN1 protein was used as the immunogen for the recombinant CNN1 antibody.

Storage

Aliquot the CNN1 antibody and store frozen at -20oC or colder. Avoid repeated freeze-thaw cycles.

Cross
Bulk Quote Request Form
Name*:
Organization*:
Email*:
Phone Number*:
Catalog No.*:
Comments and Specifics(amount, formulation, etc.)*:
Validation code: Captchapackage Image


Can't read the image? click here to refresh.
    *required field

Your bulk quote request has been submitted successfully!

Please contact us if you have any questions.