• Tel: 858.663.9055
  • SeparatorEmail: info@nsjbio.com
  • Tel: 858.663.9055
  • Email: info@nsjbio.com
Home >> Antibodies >> CDH2 Antibody / Cadherin-2 / N-Cadherin

CDH2 Antibody / Cadherin-2 / N-Cadherin [clone rCDH2/8291] (V4565)

  Catalog No Formulation Size Price (USD)  
Image V4565-100UG 0.2 mg/ml in 1X PBS with 0.1 mg/ml BSA (US sourced), 0.05% sodium azide 100 ug 559
Image
V4565-20UG 0.2 mg/ml in 1X PBS with 0.1 mg/ml BSA (US sourced), 0.05% sodium azide 20 ug 259
Image
V4565SAF-100UG 1 mg/ml in 1X PBS; BSA free, sodium azide free 100 ug 559
Microvalidated Recmousemono
Bulk quote request
CDH2 Antibody Tissue WB. Western blot analysis of N-Cadherin / CDH2 expression across multi-species heart tissue lysates using recombinant mouse monoclonal CDH2 antibody clone rCDH2/8291. Lane 1: human heart lysate, Lane 2: mouse heart lysate, Lane 3: rat heart lysate, Lane 4: hamster heart lysate, Lane 5: guinea pig heart lysate, Lane 6: rabbit heart lysate. A band is detected at approximately 120-135 kDa, consistent with the predicted molecular weight of N-Cadherin (CDH2), with the slightly higher apparent size reflecting known glycosylation of this transmembrane adhesion protein. The consistent band pattern across species aligns with the highly conserved role of N-Cadherin in cardiac muscle cell-cell adhesion and intercalated disc structure.
CDH2 Antibody Tissue WB. Western blot analysis of N-Cadherin / CDH2 expression in human heart tissue lysate using recombinant mouse monoclonal CDH2 antibody clone rCDH2/8291. Lane 1: human heart lysate. A band is detected at approximately 120-135 kDa, consistent with the predicted molecular weight of N-Cadherin (CDH2), with the slightly higher apparent migration reflecting known glycosylation of this membrane-associated adhesion protein. The strong signal in heart tissue is expected given the role of N-Cadherin in maintaining cardiomyocyte cell-cell junctions within intercalated discs.
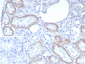
CDH2 Antibody Kidney Tissue IHC. Immunohistochemical analysis of N-Cadherin / CDH2 expression in formalin-fixed, paraffin-embedded human kidney tissue using recombinant CDH2 antibody clone rCDH2/8291. Distinct membranous and cytoplasmic staining is observed in renal tubular epithelial cells, highlighting cell-cell junctions consistent with the known localization of N-Cadherin in epithelial adhesion structures. Glomerular regions show minimal to low staining. The inset represents a negative control with primary antibody omitted, demonstrating low background signal. HIER: boil tissue sections in pH 9 10mM Tris with 1mM EDTA for 20 min and allow to cool before testing.
SDS-PAGE analysis of purified, BSA-free recombinant CDH2 antibody (clone rCDH2/8291) as confirmation of integrity and purity.
Availability 1-3 business days
Species Reactivity Human, Mouse, Rat, Hamster, Rabbit, Guinea Pig
Format Purified
Host Mouse
Clonality Recombinant Mouse Monoclonal
Isotype Mouse IgG1, kappa
Clone Name rCDH2/8291
Purity Protein A/G affinity
UniProt P19022
Localization Cell surface
Applications Immunohistochemistry (FFPE) : 1-2ug/ml for 30 min at RT (Human)
Western Blot : 2-4ug/ml (Human/Mouse/Rat/Hamster/Rabbit/Guinea Pig)
Limitations This CDH2 antibody is available for research use only.
Review this product on BioCompare and get a $20 Amazon gift card

Related Products

Description

CDH2 Antibody recognizes a protein of ~140kDa, identified as N-Cadherin (NCAD), also known as CD325. NCAD is a member of the Cadherin superfamily, and consists of five extracellular repeats, a transmembrane domain and a cytoplasmic domain. CD325 deficient mice die at day 10 of gestation and embryos display major heart defects and malformed neural tubes and somites. Consistent with this, CD325 has been implicated in several aspects of cardiac development including the precardiac mesoderm, establishment of left-right symmetry and cardiac looping morphogenesis. Furthermore, CD325 is normally involved in inducing cell cycle arrest and its expression is frequently deregulated in cancer cells. Studies have linked N-cadherin to cancer metastasis by showing the aggressive tumor cells had preferentially turned on N-cadherin as opposed to E- or P-cadherin.

This antibody is part of a broader antibody panel offered by NSJ Bioreagents.

Application Notes

Optimal dilution of the CDH2 antibody should be determined by the researcher.

Immunogen

A recombinant partial protein sequence (within amino acids 605-905) from the human protein was used as the immunogen for the recombinant CDH2 antibody.

Storage

Aliquot the CDH2 antibody and store frozen at -20oC or colder. Avoid repeated freeze-thaw cycles.

Cross
Bulk Quote Request Form
Name*:
Organization*:
Email*:
Phone Number*:
Catalog No.*:
Comments and Specifics(amount, formulation, etc.)*:
Validation code: Captchapackage Image


Can't read the image? click here to refresh.
    *required field

Your bulk quote request has been submitted successfully!

Please contact us if you have any questions.