• Tel: 858.663.9055
  • SeparatorEmail: info@nsjbio.com
  • Tel: 858.663.9055
  • Email: info@nsjbio.com
Home >> Antibodies >> CD66 Antibody / CEA / CEACAM5

CD66 Antibody / CEA / CEACAM5 [clone C66/2055R] (V3599)

  Catalog No Formulation Size Price (USD)  
Image V3599-100UG 0.2 mg/ml in 1X PBS with 0.1 mg/ml BSA (US sourced) and 0.05% sodium azide 100 ug 559
Image
V3599-20UG 0.2 mg/ml in 1X PBS with 0.1 mg/ml BSA (US sourced) and 0.05% sodium azide 20 ug 259
Image
V3599SAF-100UG 1 mg/ml in 1X PBS; BSA free, sodium azide free 100 ug 559
Image
V3599IHC-7ML Prediluted in 1X PBS with 0.1 mg/ml BSA (US sourced) and 0.05% sodium azide; *For IHC use only* 7 ml 559
Microvalidated Recrabbitmono
Bulk quote request
CD66 Antibody Intestine WB. Western blot analysis of CD66 / CEA (CEACAM5) expression in human intestine tissue lysate using CD66 antibody, clone C66/2055R. Lane 1: human intestine tissue lysate. A strong band is detected at approximately 180-200 kDa, consistent with the predicted molecular weight of CEACAM5, with the elevated apparent size reflecting extensive glycosylation characteristic of this epithelial cell surface glycoprotein.
SDS-PAGE analysis of purified, BSA-free recombinant CD66 / CEA antibody (clone C66/2055R) as confirmation of integrity and purity.
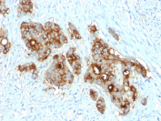
CD66 Antibody Colon Carcinoma IHC. Immunohistochemistry analysis of CD66 / CEA (CEACAM5) expression in FFPE human colon carcinoma using recombinant rabbit monoclonal antibody clone C66/2055R. Tumor epithelial cells show strong membranous and cytoplasmic HRP-DAB brown staining within gland-forming regions, while surrounding stromal cells remain largely negative; nuclei are counterstained blue. This CD66 antibody highlights carcinoembryonic antigen expression consistent with epithelial tumor origin. Antigen retrieval was performed by boiling sections in 10 mM Tris buffer with 1 mM EDTA, pH 9, for 10-20 min followed by cooling at room temperature.
Species Reactivity Human
Format Purified
Host Rabbit
Clonality Recombinant Rabbit Monoclonal
Isotype Rabbit IgG, kappa
Clone Name C66/2055R
Purity Protein A affinity chromatography
UniProt P06731
Localization Cytoplasmic and luminal surface
Applications Immunohistochemistry (FFPE) : 1-2ug/ml for 30 min at RT (1) (2)
Western Blot : 2-4ug/ml
Limitations This CD66 / CEA antibody is available for research use only.
Review this product on BioCompare and get a $20 Amazon gift card

Related Products

Description

Carcinoembryonic antigen (CEACAM5) is a glycosylphosphatidylinositol-anchored cell surface glycoprotein of the immunoglobulin superfamily and a key member of the carcinoembryonic antigen-related cell adhesion molecule family. CEACAM5 is also referred to as CD66e and belongs to the broader CD66 antigen group, which includes several structurally related CEACAM proteins expressed across epithelial and immune compartments. CD66 Antibody / CEA Antibody enables detection of this clinically relevant antigen in tissues where epithelial differentiation, cell adhesion, and tumor-associated remodeling are of interest. CEACAM5 is highly expressed in normal gastrointestinal epithelium and is frequently upregulated in adenocarcinomas of the colon, stomach, pancreas, and lung, where it serves as a well-established marker of epithelial tumor origin.

CD66 antibody, also known as CEA antibody or CEACAM5 antibody, recognizes a heavily glycosylated protein characterized by multiple extracellular immunoglobulin-like domains and a glycosylphosphatidylinositol anchor that targets it to the outer leaflet of the plasma membrane. In normal tissues, CEACAM5 exhibits polarized apical localization on epithelial cells, contributing to organized cell-cell adhesion and barrier function. In malignant tissues, this polarity is often disrupted, resulting in more diffuse membranous and cytoplasmic distribution that reflects altered tissue architecture and loss of epithelial organization. These changes are commonly observed in tumor epithelial cells and are consistent with the role of CEACAM5 in cancer progression.

As part of the CD66 antigen family, CEACAM5 can engage in homophilic interactions with itself as well as heterophilic interactions with related proteins such as CEACAM6 and CEACAM1. These interactions contribute to the formation of adhesion complexes and influence intracellular signaling pathways that regulate proliferation, differentiation, and survival. CEACAM5 has been implicated in promoting tumor cell aggregation, enhancing resistance to apoptosis, and facilitating metastatic dissemination through altered adhesion dynamics. Its localization to membrane microdomains further supports its involvement in signaling processes that shape tumor cell behavior and interactions with the surrounding microenvironment.

CEACAM5 expression is tightly regulated during development and is typically low or absent in most adult tissues outside of the gastrointestinal tract. In cancer, however, its expression is frequently reactivated and significantly increased, making it a hallmark feature of many epithelial malignancies. In addition to its cell surface localization, CEACAM5 can be shed into the extracellular space and circulation, where it serves as a widely used tumor marker in clinical monitoring. This dual presence in tissue and serum underscores its biological and diagnostic relevance.

The CD66 antigen context provides an important framework for interpreting CEACAM5 detection, as overlapping expression and structural similarity among CEACAM family members can influence antibody reactivity and staining patterns. Understanding this relationship is particularly important in studies examining epithelial differentiation and tumor heterogeneity. Given its strong expression in epithelial tissues, its involvement in tumor progression, and its integration within the CD66 family, a CD66 antibody provides a valuable tool for investigating cell adhesion mechanisms, epithelial tumor biology, and CEACAM-associated signaling pathways in both normal and disease states.

This CD66 antibody is part of a broader CEA / CD66 antibody panel offered by NSJ Bioreagents.

Application Notes

Optimal dilution of the CD66 / CEA antibody should be determined by the researcher.

1. The prediluted format is supplied in a dropper bottle and is optimized for use in IHC. After epitope retrieval step (if required), drip mAb solution onto the tissue section and incubate at RT for 30 min.

2. This MAb does not react with nonspecific cross-reacting antigen (NCA) and with human polymorphonuclear leucocytes.

Immunogen

Recombinant human protein was used as the immunogen for this CD66 / CEA antibody.

Storage

Store the CD66 / CEA antibody at 2-8oC (with azide) or aliquot and store at -20oC or colder (without azide).

Alternate Names

CD66 antibody, CEA antibody, CEACAM5 antibody, CD66e antibody, Carcinoembryonic antigen antibody

Cross
Bulk Quote Request Form
Name*:
Organization*:
Email*:
Phone Number*:
Catalog No.*:
Comments and Specifics(amount, formulation, etc.)*:
Validation code: Captchapackage Image


Can't read the image? click here to refresh.
    *required field

Your bulk quote request has been submitted successfully!

Please contact us if you have any questions.