• Tel: 858.663.9055
  • SeparatorEmail: info@nsjbio.com
  • Tel: 858.663.9055
  • Email: info@nsjbio.com
Home >> Antibodies >> CD3e Antibody / T Cell Receptor Signaling Marker Antibody

CD3e Antibody / T Cell Receptor Signaling Marker Antibody [clone C3e/4652R] (V9459)

  Catalog No Formulation Size Price (USD)  
Image V9459-100UG 0.2 mg/ml in 1X PBS with 0.1 mg/ml BSA (US sourced), 0.05% sodium azide 100 ug 559
Image
V9459-20UG 0.2 mg/ml in 1X PBS with 0.1 mg/ml BSA (US sourced), 0.05% sodium azide 20 ug 259
Image
V9459SAF-100UG 1 mg/ml in 1X PBS; BSA free, sodium azide free 100 ug 559
Microvalidated Recrabbitmono
Bulk quote request
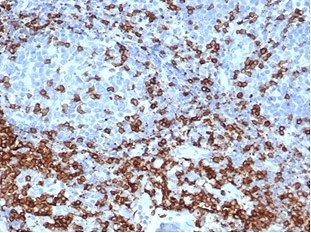
CD3e Antibody. Immunohistochemistry analysis of CD3 Epsilon / CD3E antibody in FFPE human tonsil tissue using CD3e Antibody / T Cell Receptor Signaling Marker Antibody with Clone C3e/4652R. Strong HRP-DAB brown membranous and cytoplasmic staining is observed in T lymphocytes within interfollicular and paracortical regions, consistent with T-cell zone distribution, while surrounding non-lymphoid cells show minimal background. The staining highlights CD3 epsilon as a key component of T cell receptor signaling within lymphoid tissue architecture. Heat-induced epitope retrieval was performed by boiling tissue sections in pH 9 10 mM Tris with 1 mM EDTA for 20 minutes followed by cooling prior to antibody incubation.
CD3e Antibody. Immunohistochemistry analysis of CD3 Epsilon / CD3E antibody in FFPE human lymph node tissue using CD3e Antibody / T Cell Receptor Signaling Marker Antibody with Clone C3e/4652R. Strong HRP-DAB brown membranous and cytoplasmic staining is observed in T lymphocytes within paracortical regions, consistent with T-cell zone localization, while surrounding non-lymphoid cells show minimal background. The staining highlights CD3 epsilon as a key component of T cell receptor signaling within lymphoid tissue architecture. Heat-induced epitope retrieval was performed by boiling tissue sections in pH 9 10 mM Tris with 1 mM EDTA for 20 minutes followed by cooling prior to antibody incubation.
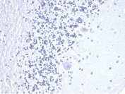
Negative control: IHC staining of FFPE human brain tissue using recombinant CD3e antibody (clone C3e/4652R) at 2ug/ml in PBS for 30min RT. HIER: boil tissue sections in pH 9 10mM Tris with 1mM EDTA for 20 min and allow to cool before testing.
Western blot testing of human Jurkat cell lysate using recombinant CD3e antibody (clone C3e/4652R). Predicted molecular weight ~23 kDa.
Availability 1-3 business days
Species Reactivity Human
Format Purified
Host Rabbit
Clonality Recombinant Rabbit Monoclonal
Isotype Rabbit IgG
Clone Name C3e/4652R
Purity Protein A/G affinity
UniProt P07766
Localization Cell surface, Cytoplasm
Applications ELISA : 2-4ug/ml (order BSA-free format for coating)
Western Blot : 1-2ug/ml
Immunohistochemistry (FFPE) : 1-2ug/ml
Limitations This recombinant CD3e antibody is available for research use only.
Review this product on BioCompare and get a $20 Amazon gift card

Related Products

Description

CD3 epsilon (CD3E) is a membrane-associated signaling component of the T-cell receptor (TCR) complex that is essential for antigen recognition and intracellular signal transduction in T lymphocytes. CD3e Antibody / T Cell Receptor Signaling Marker Antibody enables detection of CD3 Epsilon / CD3E and is widely used to interrogate signaling events initiated at the TCR complex. CD3e antibody, also known as CD3 epsilon antibody or CD3E antibody, is commonly referred to as a T cell receptor signaling marker antibody due to its direct involvement in initiating downstream immune signaling cascades.

This CD3e Antibody is uniquely positioned for studying proximal TCR signaling mechanisms at the molecular level. CD3 epsilon forms part of the CD3 signaling complex together with CD3 gamma, CD3 delta, and CD3 zeta chains, which associate with the TCR alpha-beta or gamma-delta heterodimer at the cell surface. Upon antigen engagement, CD3 epsilon contributes to activation of intracellular signaling pathways through immunoreceptor tyrosine-based activation motifs, leading to phosphorylation cascades and recruitment of downstream signaling molecules. Because CD3 epsilon is directly embedded within this signaling machinery, its detection provides a direct readout of TCR-associated signaling capacity.

As a T cell receptor signaling marker antibody, CD3e antibody reagents enable detailed analysis of early T-cell activation events. Detection of CD3 epsilon supports studies of receptor engagement, signal initiation, and propagation through key pathways that regulate T-cell proliferation, differentiation, and effector function. This makes CD3e antibody particularly valuable in experimental systems designed to evaluate signaling strength, receptor clustering, or modulation of TCR-driven responses.

CD3 epsilon signaling is tightly regulated and forms a critical checkpoint in determining T-cell fate decisions. Alterations in CD3-associated signaling pathways can influence immune activation thresholds and downstream functional responses. CD3e Antibody / T Cell Receptor Signaling Marker Antibody supports investigation of these processes by enabling consistent detection of CD3 epsilon within signaling complexes across different activation states.

In experimental applications, CD3e antibody reagents are used to examine TCR signaling across cultured T cells, primary lymphocytes, and tissue-derived immune populations. The ability to detect CD3 epsilon provides a molecular anchor for studying how signaling networks are engaged and regulated under different experimental conditions. This includes evaluation of signaling kinetics, pathway modulation, and responses to stimulatory or inhibitory signals.

The use of CD3e antibody as a T cell receptor signaling marker also supports integration with complementary signaling readouts, including phosphorylation-specific markers and downstream transcriptional responses. This enables a more comprehensive understanding of T-cell activation pathways and their regulation.

CD3e Antibody / T Cell Receptor Signaling Marker Antibody provides a focused and reliable tool for studying TCR-mediated signaling processes, supporting research centered on immune activation, signal transduction, and functional regulation in T lymphocytes.

Application Notes

Optimal dilution of the CD3e Antibody / T Cell Receptor Signaling Marker Antibody should be determined by the researcher.

Immunogen

A portion of amino acids aa 20-40 from the human protein was used as the immunogen for the CD3e Antibody / T Cell Receptor Signaling Marker Antibody.

Storage

Aliquot the recombinant CD3e antibody and store frozen at -20oC or colder. Avoid repeated freeze-thaw cycles.

Alternate Names

CD3E antibody, CD3 epsilon signaling antibody, CD3 TCR signaling antibody, CD3 immune signaling marker antibody, CD3 antigen receptor antibody

Cross
Bulk Quote Request Form
Name*:
Organization*:
Email*:
Phone Number*:
Catalog No.*:
Comments and Specifics(amount, formulation, etc.)*:
Validation code: Captchapackage Image


Can't read the image? click here to refresh.
    *required field

Your bulk quote request has been submitted successfully!

Please contact us if you have any questions.