- Tel: 858.663.9055
- 
									 Email: info@nsjbio.com Email: info@nsjbio.com
- Tel: 858.663.9055
- Email: info@nsjbio.com
 Email: info@nsjbio.com
Email: info@nsjbio.com
								Related Products
| 
 | 
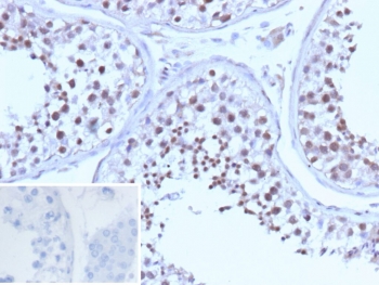
This gene encodes a nuclear phosphoprotein that plays a role in maintaining genomic stability, and it also acts as a tumor suppressor. The encoded protein combines with other tumor suppressors, DNA damage sensors, and signal transducers to form a large multi-subunit protein complex known as the BRCA1-associated genome surveillance complex (BASC). This gene product associates with RNA polymerase II, and through the C-terminal domain, also interacts with histone deacetylase complexes. This protein thus plays a role in transcription, DNA repair of double-stranded breaks, and recombination. Mutations in this gene are responsible for approximately 40% of inherited breast cancers and more than 80% of inherited breast and ovarian cancers. Alternative splicing plays a role in modulating the subcellular localization and physiological function of this gene.
Optimal dilution of the recombinant BRCA1 antibody should be determined by the researcher.
A recombinant fragment corresponding to the N-terminal region of human BRCA1 protein was used as the immunogen for the recombinant BRCA1 antibody.
Aliquot the recombinant BRCA1 antibody and store frozen at -20oC or colder. Avoid repeated freeze-thaw cycles.
 
Your bulk quote request has been submitted successfully!
Please contact us if you have any questions.