• Tel: 858.663.9055
  • SeparatorEmail: info@nsjbio.com
  • Tel: 858.663.9055
  • Email: info@nsjbio.com
Home >> Antibodies >> Recombinant Beta Actin Antibody (Biotin Conjugate)

Recombinant Beta Actin Antibody (Biotin Conjugate) [clone RM112] (R20197BTN)

  Catalog No Formulation Size Price (USD)  
Image R20197BTN-50UL Antibody in PBS with 50% glycerol, 1% BSA and 0.09% sodium azide 50 ul 439
Microvalidated Recrabbitmono
Bulk quote request
ICC staining of human HeLa cells using the recombinant Beta Actin antibody at 1:200 (red) and DAPI to stain the nuclei (blue).
Western blot of human A431 cells using the recombinant Beta Actin antibody at a 1:1000. Predicted molecular weight ~42 kDa.
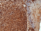
IHC staining of FFPE human tonsil with recombinant Beta Actin antibody at 1:1000 (clone RM112). HIER: boil tissue sections in pH 6 citrate buffer or pH 9 10mM Tris with 1mM EDTA for 20 min and allow to cool before testing.
Availability 1-3 business days
Species Reactivity All Species
Format Biotin Conjugate
Host Rabbit
Clonality Recombinant Rabbit Monoclonal
Isotype Rabbit IgG
Clone Name RM112
Purity Protein A purified from animal origin-free supernatant
UniProt P60709
Gene ID 60
Applications Western Blot : 1:1000
Immunoprecipitation : 1:200
Chromatin IP (ChIP) : 1:200
Immunocytochemistry : 1:200
Immunohistochemistry : 1:200-1:1000
Limitations This recombinant Beta Actin antibody is available for research use only.
Review this product on BioCompare and get a $20 Amazon gift card

Related Products

  • Applications : WB, IHC-P
    Reactivity : Human, Mouse, Rat
  • Applications : WB, IHC, IF, ELISA
    Reactivity : Human, Mouse
  • Applications : WB, IHC, ELISA
    Reactivity : Human, Mouse, Rat
  • Applications : WB, IHC, IF, ELISA
    Reactivity : Human, Mouse, Rat
    Pred. Reactivity : Bovine, Chicken, Hamster, Pig, Rat, Xenopus
  • Applications : WB, IF, IHC, FACS
    Reactivity : Human, Mouse, Rat
    Pred. Reactivity : Bovine, Chicken, Horse, Pig, Primate, Sheep, Xenopus
  • Applications : WB
    Reactivity : Human, Mouse, Rat, Monkey, Rabbit, Chicken, Dog
  • Applications : WB
    Reactivity : Human, Mouse, Rat, Primate, Dog
  • Applications : WB
    Reactivity : Human, Mouse, Rat, Monkey, Zebrafish, Chicken
  • Applications : WB, IHC-P
    Reactivity : Human
  • Applications : WB, IHC-P
    Reactivity : Human, Mouse, Rat
  • Applications : WB, IHC-P
    Reactivity : Human, Mouse, Rat
  • Applications : WB, ELISA
    Reactivity : Human
    Pred. Reactivity : Bovine, Chicken, Mouse, Pig, Primate, Rat, Xenopus
  • Applications : IF, WB, IHC, ELISA
    Reactivity : Human
    Pred. Reactivity : Mouse, Rat, Bovine, Pig, Primate, Chicken, Xenopus
  • Applications : WB, IHC, ELISA
    Reactivity : Human
    Pred. Reactivity : Bovine, Chicken, Drosophila, Hamster, Mouse, Pig, Rat, Xenopus
  • Applications : WB, ELISA
    Reactivity : Human
  • Applications : WB, ELISA
    Reactivity : Human
    Pred. Reactivity : Bovine, Mouse, Primate
  • Applications : WB, ELISA
    Reactivity : Human

Description

This recombinant Beta Actin antibody reacts to b-Actin (ACTB/Actin, cytoplasmic 1). No cross reactivity with other isoforms of Actin.

Application Notes

The stated application concentrations are suggested starting points. Titration of the recombinant Beta Actin antibody may be required due to differences in protocols and secondary/substrate sensitivity.

Immunogen

A peptide corresponding to the N-terminus of b-Actin was used as the immunogen for this recombinant Beta Actin antibody.

Storage

Store the recombinant Beta Actin antibody at -20oC.

Cross
Bulk Quote Request Form
Name*:
Organization*:
Email*:
Phone Number*:
Catalog No.*:
Comments and Specifics(amount, formulation, etc.)*:
Validation code: Captchapackage Image


Can't read the image? click here to refresh.
    *required field

Your bulk quote request has been submitted successfully!

Please contact us if you have any questions.