• Tel: 858.663.9055
  • SeparatorEmail: info@nsjbio.com
  • Tel: 858.663.9055
  • Email: info@nsjbio.com
Home >> Antibodies >> Recombinant Bcl-X Antibody

Recombinant Bcl-X Antibody [clone BCL2L1/9221R] (V5590)

  Catalog No Formulation Size Price (USD)  
Image V5590-100UG 0.2 mg/ml in 1X PBS with 0.1 mg/ml BSA (US sourced), 0.05% sodium azide 100 ug 559
Image
V5590-20UG 0.2 mg/ml in 1X PBS with 0.1 mg/ml BSA (US sourced), 0.05% sodium azide 20 ug 259
Image
V5590SAF-100UG 1 mg/ml in 1X PBS; BSA free, sodium azide free 100 ug 559
Microvalidated Recrabbitmono
Bulk quote request
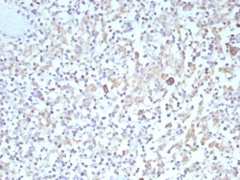
IHC staining of FFPE human Hodgkins lymphoma tissue with recombinant Bcl-X antibody (clone BCL2L1/9221R). HIER: boil tissue sections in pH 9 10mM Tris with 1mM EDTA for 20 min and allow to cool before testing.
SDS-PAGE analysis of purified, BSA-free recombinant Bcl-X antibody (clone BCL2L1/9221R) as confirmation of integrity and purity.
Availability 1-3 business days
Species Reactivity Human
Format Purified
Host Rabbit
Clonality Recombinant Rabbit Monoclonal
Isotype Rabbit IgG, kappa
Clone Name BCL2L1/9221R
Purity Protein A/G affinity
UniProt Q07817
Localization Cytoplasm, Cell membrane, Nuclear membrane
Applications Immunohistochemistry (FFPE) : 1-2ug/ml
Limitations This recombinant Bcl-X antibody is available for research use only.
Review this product on BioCompare and get a $20 Amazon gift card

Related Products

Description

Recognizes a protein of 27kDa, identified as the Bcl-X protein. This MAb shows no cross-reaction with Bcl-2a or Bax protein. Bcl-X has two isoforms, Bcl-XL (long), a 241-amino acid protein which suppresses cell death. And Bcl-XS (short), a 178-amino acid protein lacking a 63-amino acid domain which functions as a dominant inhibitor of Bcl-2.

Application Notes

Optimal dilution of the recombinant Bcl-X antibody should be determined by the researcher.

Immunogen

A recombinant fragment (within amino acids 1-100) of human BCL2L1 protein was used as the immunogen for the recombinant Bcl-X antibody.

Storage

Aliquot the recombinant Bcl-X antibody and store frozen at -20oC or colder. Avoid repeated freeze-thaw cycles.

Cross
Bulk Quote Request Form
Name*:
Organization*:
Email*:
Phone Number*:
Catalog No.*:
Comments and Specifics(amount, formulation, etc.)*:
Validation code: Captchapackage Image


Can't read the image? click here to refresh.
    *required field

Your bulk quote request has been submitted successfully!

Please contact us if you have any questions.