• Tel: 858.663.9055
  • SeparatorEmail: info@nsjbio.com
  • Tel: 858.663.9055
  • Email: info@nsjbio.com
Home >> Antibodies >> Recombinant Anti-Kappa Antibody / Human

Recombinant Anti-Kappa Antibody / Human [clone IGKC/1999R] (V3591)

  Catalog No Formulation Size Price (USD)  
Image V3591-100UG 0.2 mg/ml in 1X PBS with 0.1 mg/ml BSA (US sourced) and 0.05% sodium azide 100 ug 559
Image
V3591-20UG 0.2 mg/ml in 1X PBS with 0.1 mg/ml BSA (US sourced) and 0.05% sodium azide 20 ug 259
Image
V3591SAF-100UG 1 mg/ml in 1X PBS; BSA free, sodium azide free 100 ug 559
Image
V3591IHC-7ML Prediluted in 1X PBS with 0.1 mg/ml BSA (US sourced) and 0.05% sodium azide; *For IHC use only* 7 ml 559
Microvalidated Recrabbitmono
Bulk quote request
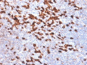
IHC testing of FFPE human tonsil tissue with recombinant anti-Kappa antibody (clone IGKC/1999R). Required HIER: boil tissue sections in pH 9 10mM Tris with 1mM EDTA for 10-20 min followed by cooling at RT for 20 min.
SDS-PAGE analysis of purified, BSA-free recombinant anti-Kappa antibody (clone IGKC/1999R) as confirmation of integrity and purity.
Analysis of HuProt(TM) microarray containing more than 19,000 full-length human proteins using recombinant anti-Kappa antibody (clone IGKC/1999R). These results demonstrate the foremost specificity of the IGKC/1999R mAb.
Z- and S- score: The Z-score represents the strength of a signal that an antibody (in combination with a fluorescently-tagged anti-IgG secondary Ab) produces when binding to a particular protein on the HuProt(TM) array. Z-scores are described in units of standard deviations (SD's) above the mean value of all signals generated on that array. If the targets on the HuProt(TM) are arranged in descending order of the Z-score, the S-score is the difference (also in units of SD's) between the Z-scores. The S-score therefore represents the relative target specificity of an Ab to its intended target.
Availability 1-3 business days
Species Reactivity Human
Format Purified
Host Rabbit
Clonality Recombinant Rabbit Monoclonal
Isotype Rabbit IgG, kappa
Clone Name IGKC/1999R
Purity Protein A affinity chromatography
UniProt P01601 , P01834
Localization Cell Surface, cytoplasmic and secreted
Applications Immunohistochemistry (FFPE) : 1-2ug/ml for 30 min at RT
Limitations This recombinant anti-Kappa antibody is available for research use only.
Review this product on BioCompare and get a $20 Amazon gift card

Related Products

Description

Recombinant Anti-Kappa antibody is designed to detect the kappa light chain of immunoglobulins, one of the two types of light chains paired with heavy chains to form complete antibodies. Kappa chains are encoded by the IGKC gene and are found in roughly two thirds of human immunoglobulins. Because of their prevalence, kappa chains are widely studied in immunology, hematology, and diagnostic pathology.

Each immunoglobulin molecule consists of two identical heavy chains and two identical light chains, either kappa or lambda. The light chain contributes to antigen binding through its variable region, while its constant region provides structural support. The balance of kappa and lambda chains is clinically relevant, as skewed ratios can signal lymphoproliferative disorders. Thus, the ability to reliably detect kappa light chains is valuable in both research and diagnostics.

The Recombinant Anti-Kappa antibody clone IGKC/1999R provides precise and reproducible detection of kappa chains. Recombinant production eliminates variability across batches, ensuring dependable results. Clone IGKC/1999R has been applied in immunology research to study antibody composition, in hematology to investigate plasma cell disorders, and in oncology to monitor B cell malignancies. Its robust specificity supports a range of experimental systems.

Research with clone IGKC/1999R has clarified how immunoglobulin light chain ratios inform disease states. Increased production of either kappa or lambda chains is associated with multiple myeloma and related conditions. This antibody provides a reliable means of detecting kappa chains in cells and tissues, enabling better characterization of immune responses and pathological changes.

NSJ Bioreagents supplies this Recombinant Anti-Kappa antibody to support investigations into immunoglobulin structure and disease. The kappa light chain is also referenced as IGKC antibody, immunoglobulin kappa chain antibody, antibody light chain kappa antibody, and kappa immunoglobulin protein antibody, illustrating the varied terminology used in scientific literature.

Application Notes

The optimal dilution of the recombinant anti-Kappa antibody for each application should be determined by the researcher.

1. The prediluted format is supplied in a dropper bottle and is optimized for use in IHC. After epitope retrieval step (if required), drip mAb solution onto the tissue section and incubate at RT for 30 min.

Immunogen

Recombinant human Ig kappa chain was used as the immunogen for this recombinant anti-Kappa antibody.

Storage

Store the recombinant anti-Kappa antibody at 2-8oC (with azide) or aliquot and store at -20oC or colder (without azide).

Cross
Bulk Quote Request Form
Name*:
Organization*:
Email*:
Phone Number*:
Catalog No.*:
Comments and Specifics(amount, formulation, etc.)*:
Validation code: Captchapackage Image


Can't read the image? click here to refresh.
    *required field

Your bulk quote request has been submitted successfully!

Please contact us if you have any questions.