• Tel: 858.663.9055
  • SeparatorEmail: info@nsjbio.com
  • Tel: 858.663.9055
  • Email: info@nsjbio.com
Home >> Antibodies >> Recombinant ALDH1A1 Antibody / Aldehyde Dehydrogenase 1A1

Recombinant ALDH1A1 Antibody / Aldehyde Dehydrogenase 1A1 [clone rALDH1A1/7285] (V9481)

  Catalog No Formulation Size Price (USD)  
Image V9481-100UG 0.2 mg/ml in 1X PBS with 0.1 mg/ml BSA (US sourced), 0.05% sodium azide 100 ug 559
Image
V9481-20UG 0.2 mg/ml in 1X PBS with 0.1 mg/ml BSA (US sourced), 0.05% sodium azide 20 ug 259
Image
V9481SAF-100UG 1 mg/ml in 1X PBS; BSA free, sodium azide free 100 ug 559
Microvalidated Recmousemono
Bulk quote request
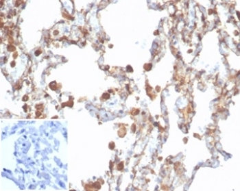
IHC staining of FFPE human lung tissue with recombinant ALDH1A1 antibody (clone rALDH1A1/7285). Negative control inset: PBS used instead of primary antibody to control for secondary Ab binding. HIER: boil tissue sections in pH 9 10mM Tris with 1mM EDTA for 20 min and allow to cool before testing.
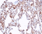
IHC staining of FFPE human lung tissue with recombinant ALDH1A1 antibody (clone rALDH1A1/7285). HIER: boil tissue sections in pH 9 10mM Tris with 1mM EDTA for 20 min and allow to cool before testing.
Western blot testing of human brain tissue lysate using recombinant ALDH1A1 antibody (clone rALDH1A1/7285). Expected molecular weight ~55 kDa.
SDS-PAGE analysis of purified, BSA-free recombinant ALDH1A1 antibody (clone rALDH1A1/7285) as confirmation of integrity and purity.
Availability 1-3 business days
Species Reactivity Human
Format Purified
Host Mouse
Clonality Recombinant Mouse Monoclonal
Isotype Mouse IgG1, kappa
Clone Name rALDH1A1/7285
Purity Protein A/G affinity
UniProt P00352
Localization Cytoplasm
Applications Immunohistochemistry (FFPE) : 1-2ug/ml
Western Blot : 2-4ug/ml
Limitations This recombinant ALDH1A1 antibody is available for research use only.
Review this product on BioCompare and get a $20 Amazon gift card

Related Products

Description

ALDH1A1 belongs to the ALDH enzymes, a family of evolutionarily conserved enzymes comprised of 19 isoforms that are localized in the cytoplasm, mitochondria or nucleus. ALDH1A1 is predominantly expressed in the epithelium of testis, brain, eye, liver, kidney, as well as neural and hematopoietic stem cells. Reportedly, high ALDH1A1 expression is found in solitary fibrous tumor (SFT) and hemangiopericytoma (HPC), compared to meningiomas and synovial sarcomas. In combination with CD34, ALDH1A1 may be useful for the differentiation among SFT, HPC, meningioma, and synovial sarcoma.

Application Notes

Optimal dilution of the recombinant ALDH1A1 antibody should be determined by the researcher.

Immunogen

A portion of amino acids 315-434 was used as the immunogen for the recombinant ALDH1A1 antibody.

Storage

Aliquot the recombinant ALDH1A1 antibody and store frozen at -20oC or colder. Avoid repeated freeze-thaw cycles.

Cross
Bulk Quote Request Form
Name*:
Organization*:
Email*:
Phone Number*:
Catalog No.*:
Comments and Specifics(amount, formulation, etc.)*:
Validation code: Captchapackage Image


Can't read the image? click here to refresh.
    *required field

Your bulk quote request has been submitted successfully!

Please contact us if you have any questions.