• Tel: 858.663.9055
  • SeparatorEmail: info@nsjbio.com
  • Tel: 858.663.9055
  • Email: info@nsjbio.com
Home >> Antibodies >> RAE1 Antibody

RAE1 Antibody (R34756)

  Catalog No Formulation Size Price (USD)  
Image R34756-100UG 0.5 mg/ml in 1X TBS, pH7.3, with 0.5% BSA (US sourced) and 0.02% sodium azide 100 ug 475
Bulk quote request
Western blot testing of A) HepG2, B) HeLa, C) Jurkat and D) MCF7 lysates with RAE1 antibody at 0.1ug/ml. Predicted molecular weight: ~41 kDa.
IHC staining of FFPE human brain cortex with RAE1 antibody at 4ug/ml. HIER: steamed with pH6 citrate buffer, AP-staining.
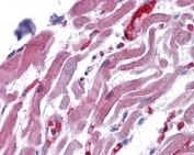
IHC staining of FFPE human heart with RAE1 antibody at 4ug/ml. HIER: steamed with pH6 citrate buffer, AP-staining.
Availability 1-3 business days
Species Reactivity Human
Predicted Reactivity Mouse, Rat, Dog, Pig, Cow
Format Antigen affinity purified
Host Goat
Clonality Polyclonal (goat origin)
Isotype Goat Ig
Purity Antigen affinity
Gene ID 8480
Localization Cytoplasmic, nuclear
Applications Western Blot : 0.03-0.1ug/ml
Immunohistochemistry (FFPE) : 3-6ug/ml
ELISA (peptide) LOD : 1:64000
Limitations This RAE1 antibody is available for research use only.
Review this product on BioCompare and get a $20 Amazon gift card

Related Products

  • Applications : WB, IHC-P, IF, FACS, Direct ELISA
    Reactivity : Human, Rat

Description

Additional name(s) for this target protein: RNA export 1

Application Notes

Optimal dilution of the RAE1 antibody should be determined by the researcher.

Immunogen

Amino acids NAAEELKPRNKK were used as the immunogen for this RAE1 antibody.

Storage

Aliquot and store the RAE1 antibody at -20oC.

Cross
Bulk Quote Request Form
Name*:
Organization*:
Email*:
Phone Number*:
Catalog No.*:
Comments and Specifics(amount, formulation, etc.)*:
Validation code: Captchapackage Image


Can't read the image? click here to refresh.
    *required field

Your bulk quote request has been submitted successfully!

Please contact us if you have any questions.