• Tel: 858.663.9055
  • SeparatorEmail: info@nsjbio.com
  • Tel: 858.663.9055
  • Email: info@nsjbio.com
Home >> Antibodies >> RAB8A Antibody

RAB8A Antibody (F55011)

  Catalog No Formulation Size Price (USD)  
Image F55011-0.4ML In 1X PBS, pH 7.4, with 0.09% sodium azide 0.4 ml 439
Image
F55011-0.08ML In 1X PBS, pH 7.4, with 0.09% sodium azide 0.08 ml 205
Bulk quote request
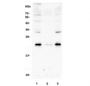
Western blot testing of human HCT-116 cell lysate with RAB8A antibody. Predicted molecular weight ~24 kDa.
Western blot testing of human HeLa cell lysate with RAB8A antibody. Predicted molecular weight ~24 kDa.
IHC testing of FFPE human brain tissue with RAB8A antibody. HIER: steam section in pH6 citrate buffer for 20 min and allow to cool prior to staining.
Flow cytometry testing of human HeLa cells with RAB8A antibody; Blue=isotype control, Green= RAB8A antibody.
Availability 1-3 business days
Species Reactivity Human
Format Purified
Host Rabbit
Clonality Polyclonal (rabbit origin)
Isotype Rabbit Ig
Purity Antigen affinity purified
UniProt P61006
Localization Cytoplasmic, cell membrane
Applications Flow Cytometry : 1:10-1:50 (1x10e6 cells)
Immunohistochemistry (FFPE) : 1:50-1:100
Western Blot : 1:500-1:1000
Limitations This RAB8A antibody is available for research use only.
Review this product on BioCompare and get a $20 Amazon gift card

Related Products

  • Applications : WB, IHC, ICC, IF, FACS
    Reactivity : Human, Mouse, Rat
    Recrabbitmono
  • Applications : WB, IHC-P
    Reactivity : Human, Mouse, Rat
  • Applications : WB, ELISA (peptide)
    Reactivity : Human
    Pred. Reactivity : Cow, Dog

Description

The proteasome is a multicatalytic proteinase complex with a highly ordered ring-shaped 20S core structure. The core structure is composed of 4 rings of 28 non-identical subunits; 2 rings are composed of 7 alpha subunits and 2 rings are composed of 7 beta subunits. Proteasomes are distributed throughout eukaryotic cells at a high concentration and cleave peptides in an ATP/ubiquitin-dependent process in a non-lysosomal pathway. Anessential function of a modified proteasome, the immunoproteasome, is the processing of class I MHC peptides. RAB8A is a member of the peptidase T1A family, that is a 20S core alpha subunit. A pseudogene has been identified on the Y chromosome.

Application Notes

The stated application concentrations are suggested starting points. Titration of the RAB8A antibody may be required due to differences in protocols and secondary/substrate sensitivity.

Immunogen

Recombinant human protein was used as the immunogen for the RAB8A antibody.

Storage

Aliquot the RAB8A antibody and store frozen at -20oC or colder. Avoid repeated freeze-thaw cycles.

Cross
Bulk Quote Request Form
Name*:
Organization*:
Email*:
Phone Number*:
Catalog No.*:
Comments and Specifics(amount, formulation, etc.)*:
Validation code: Captchapackage Image


Can't read the image? click here to refresh.
    *required field

Your bulk quote request has been submitted successfully!

Please contact us if you have any questions.