• Tel: 858.663.9055
  • SeparatorEmail: info@nsjbio.com
  • Tel: 858.663.9055
  • Email: info@nsjbio.com
Home >> Antibodies >> RAB14 Antibody

RAB14 Antibody (RQ8524)

  Catalog No Formulation Size Price (USD)  
Image RQ8524 0.5mg/ml if reconstituted with 0.2ml sterile DI water 100 ug 449
Bulk quote request
Flow cytometry testing of fixed and permeabilized human HeLa cells with RAB14 antibody at 1ug/million cells (blocked with goat sera); Red=cells alone, Green=isotype control, Blue= RAB14 antibody.
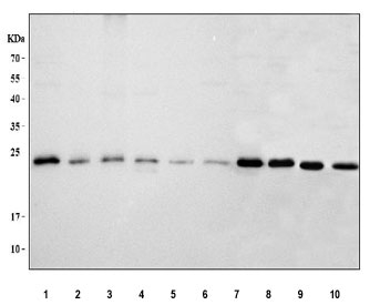
Western blot testing of 1) human HeLa, 2) human PC-3, 3) human T-47D, 4) human A549, 5) human A431, 6) human U-937, 7) human MCF7, 8) rat brain, 9) mouse brain and 10) mouse lung tissue lysate with RAB14 antibody. Predicted molecular weight ~24 kDa.
Availability 1-3 days
Species Reactivity Human, Mouse, Rat
Format Antigen affinity purified
Host Rabbit
Clonality Polyclonal (rabbit origin)
Isotype Rabbit IgG
Purity Antigen affinity purified
Buffer Lyophilized from 1X PBS with 2% Trehalose
UniProt P61106
Applications Western Blot : 0.5-1ug/ml
Flow Cytometry : 1-3ug/million cells
ELISA : 0.1-0.5ug/ml
Limitations This RAB14 antibody is available for research use only.
Review this product on BioCompare and get a $20 Amazon gift card

Related Products

  • Applications : WB, IF, IHC-P
    Reactivity : Human, Mouse, Rat
  • Applications : WB, IHC-P
    Reactivity : Zebrafish

Description

Ras-related protein Rab-14 is a protein that in humans is encoded by the RAB14 gene. It is mapped to 9q33.2 based on an alignment of the RAB14 sequence with the genomic sequence. RAB14 belongs to the large RAB family of low molecular mass GTPases that are involved in intracellular membrane trafficking. These proteins act as molecular switches that flip between an inactive GDP-bound state and an active GTP-bound state in which they recruit downstream effector proteins onto membranes.

Application Notes

Optimal dilution of the RAB14 antibody should be determined by the researcher.

Immunogen

An E.coli-derived human recombinant protein (amino acids D108-C215) was used as the immunogen for the RAB14 antibody.

Storage

After reconstitution, the RAB14 antibody can be stored for up to one month at 4oC. For long-term, aliquot and store at -20oC. Avoid repeated freezing and thawing.

Cross
Bulk Quote Request Form
Name*:
Organization*:
Email*:
Phone Number*:
Catalog No.*:
Comments and Specifics(amount, formulation, etc.)*:
Validation code: Captchapackage Image


Can't read the image? click here to refresh.
    *required field

Your bulk quote request has been submitted successfully!

Please contact us if you have any questions.