• Tel: 858.663.9055
  • SeparatorEmail: info@nsjbio.com
  • Tel: 858.663.9055
  • Email: info@nsjbio.com
Home >> Antibodies >> RAB11A Antibody

RAB11A Antibody (R36163)

  Catalog No Formulation Size Price (USD)  
Image R36163-100UG 0.5 mg/ml in 1X TBS, pH7.3, with 0.5% BSA (US sourced) and 0.02% sodium azide 100 ug 475
Bulk quote request
Western blot testing of mouse heart lysate at 2ug/ml. Predicted molecular weight: ~25kDa.
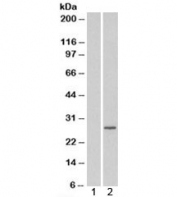
Western blot of HEK293 lysate overexpressing RAB11A and probed with RAB11A antibody (mock transfection in lane 1). Predicted molecular weight: ~25kDa.
Availability 1-3 business days
Species Reactivity Human, Mouse
Predicted Reactivity Cow, Rat
Format Antigen affinity purified
Host Goat
Clonality Polyclonal (goat origin)
Isotype Goat Ig
Purity Antigen affinity
Gene ID 8766
Applications Western Blot : 2-4ug/ml
ELISA (peptide) LOD : 1:32000
Limitations This RAB11A antibody is available for research use only.
Review this product on BioCompare and get a $20 Amazon gift card

Related Products

  • Applications : WB, IHC-P, IF, FACS
    Reactivity : Human, Mouse, Rat
  • Applications : WB, IP
    Reactivity : Human, Mouse, Rat
  • Applications : WB, IF, FACS
    Reactivity : Human, Mouse, Rat

Description

Additional name(s) for this target protein: Ras related protein Rab 11A

Application Notes

Optimal dilution of the RAB11A antibody should be determined by the researcher.

Immunogen

Amino acids TENKPKVQCCQNI were used as the immunogen for this RAB11A antibody.

Storage

Aliquot and store the RAB11A antibody at -20oC.

Cross
Bulk Quote Request Form
Name*:
Organization*:
Email*:
Phone Number*:
Catalog No.*:
Comments and Specifics(amount, formulation, etc.)*:
Validation code: Captchapackage Image


Can't read the image? click here to refresh.
    *required field

Your bulk quote request has been submitted successfully!

Please contact us if you have any questions.