• Tel: 858.663.9055
  • SeparatorEmail: info@nsjbio.com
  • Tel: 858.663.9055
  • Email: info@nsjbio.com
Home >> Antibodies >> Pyruvate Kinase PKM Antibody / PKM2

Pyruvate Kinase PKM Antibody / PKM2 (F54909)

  Catalog No Formulation Size Price (USD)  
Image F54909-0.4ML In 1X PBS, pH 7.4, with 0.09% sodium azide 0.4 ml 439
Image
F54909-0.08ML In 1X PBS, pH 7.4, with 0.09% sodium azide 0.08 ml 205
Bulk quote request
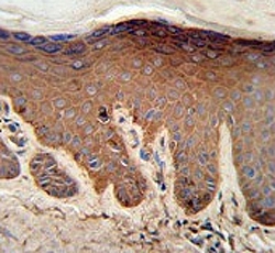
IHC testing of FFPE human skin tissue with Pyruvate Kinase PKM antibody. HIER: steam section in pH6 citrate buffer for 20 min and allow to cool prior to staining.
Western blot testing of human HeLa cell lysate with Pyruvate Kinase PKM antibody. Predicted molecular weight ~58 kDa.
Western blot testing of human K562 cell lysate with Pyruvate Kinase PKM antibody. Predicted molecular weight ~58 kDa.
Flow cytometry testing of human K562 cells with Pyruvate Kinase PKM antibody; Blue=isotype control, Green= Pyruvate Kinase PKM antibody.
Availability 1-3 business days
Species Reactivity Human
Format Purified
Host Rabbit
Clonality Polyclonal (rabbit origin)
Isotype Rabbit Ig
Purity Purified
UniProt P14618
Localization Cytoplasmic, nuclear
Applications Flow Cytometry : 1:10-1:50 (1x10e6 cells)
Immunohistochemistry (FFPE) : 1:50-1:100
Western Blot : 1:500-1:1000
Limitations This Pyruvate Kinase PKM antibody is available for research use only.
Review this product on BioCompare and get a $20 Amazon gift card

Related Products

Description

PKM2 is a pyruvate kinase that catalyzes the production of phosphoenolpyruvate from pyruvate and ATP. This protein has been shown to interact with thyroid hormone, and thus may mediate cellular metabolic effects induced by thyroid hormones. This protein has been found to bind Opa protein, a bacterial outer membrane protein involved in gonococcal adherence to and invasion of human cells, suggesting a role of this protein in bacterial pathogenesis.

Application Notes

The stated application concentrations are suggested starting points. Titration of the Pyruvate Kinase PKM antibody may be required due to differences in protocols and secondary/substrate sensitivity.

Immunogen

A portion of amino acids 383-417 from the human protein was used as the immunogen for the Pyruvate Kinase PKM antibody.

Storage

Aliquot the Pyruvate Kinase PKM antibody and store frozen at -20oC or colder. Avoid repeated freeze-thaw cycles.

Cross
Bulk Quote Request Form
Name*:
Organization*:
Email*:
Phone Number*:
Catalog No.*:
Comments and Specifics(amount, formulation, etc.)*:
Validation code: Captchapackage Image


Can't read the image? click here to refresh.
    *required field

Your bulk quote request has been submitted successfully!

Please contact us if you have any questions.