• Tel: 858.663.9055
  • SeparatorEmail: info@nsjbio.com
  • Tel: 858.663.9055
  • Email: info@nsjbio.com
Home >> Antibodies >> PTEN Antibody

PTEN Antibody [clone PTEN/7345] (V4105)

  Catalog No Formulation Size Price (USD)  
Image V4105-100UG 0.2 mg/ml in 1X PBS with 0.1 mg/ml BSA (US sourced), 0.05% sodium azide 100 ug 559
Image
V4105-20UG 0.2 mg/ml in 1X PBS with 0.1 mg/ml BSA (US sourced), 0.05% sodium azide 20 ug 259
Image
V4105SAF-100UG 1 mg/ml in 1X PBS; BSA free, sodium azide free 100 ug 559
Bulk quote request
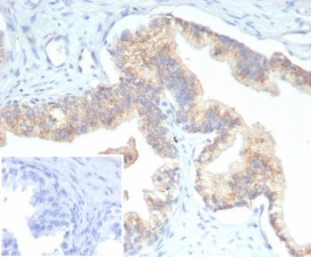
IHC staining of FFPE human prostate carcinoma tissue with PTEN antibody (clone PTEN/7345) at 2ug/ml. Inset: PBS used in place of primary Ab (secondary Ab negative control). HIER: boil tissue sections in pH 9 10mM Tris with 1mM EDTA for 20 min and allow to cool before testing.
SDS-PAGE analysis of purified, BSA-free PTEN antibody (clone PTEN/7345) as confirmation of integrity and purity.
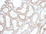
IHC staining of FFPE human kidney tissue with PTEN antibody (clone PTEN/7345) at 2ug/ml. HIER: boil tissue sections in pH 9 10mM Tris with 1mM EDTA for 20 min and allow to cool before testing.
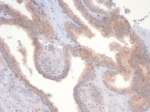
IHC staining of FFPE human prostate tissue with PTEN antibody (clone PTEN/7345) at 2ug/ml. HIER: boil tissue sections in pH 9 10mM Tris with 1mM EDTA for 20 min and allow to cool before testing.
Availability 1-3 business days
Species Reactivity Human
Format Purified
Host Mouse
Clonality Monoclonal (mouse origin)
Isotype Mouse IgG, kappa
Clone Name PTEN/7345
Purity Protein A/G affinity
UniProt P60484
Localization Cytoplasm, Nucleus
Applications ELISA (Order BSA-free Format For Coating) :
Immunohistochemistry (FFPE) : 1-2ug/ml for 30 minutes at RT
Limitations This PTEN antibody is available for research use only.
Review this product on BioCompare and get a $20 Amazon gift card

Related Products

  • Applications : WB, IHC
    Reactivity : Human
    Pred. Reactivity : Mouse
    Recrabbitmono
  • Applications : IHC-P
    Reactivity : Human
    Microvalidated
  • Applications : DB, ELISA
    Reactivity : Human
    Pred. Reactivity : Mouse
  • Applications : DB, ELISA
    Reactivity : Human
    Pred. Reactivity : Mouse, Xenopus
  • Applications : DB, ELISA
    Reactivity : Human
    Pred. Reactivity : Mouse, Xenopus
  • Applications : DB, ELISA
    Reactivity : Human
    Pred. Reactivity : Mouse, Xenopus
  • Applications : DB, ELISA
    Reactivity : Human
    Pred. Reactivity : Mouse
  • Applications : DB, ELISA
    Reactivity : Human
    Pred. Reactivity : Mouse
  • Applications : DB, ELISA
    Reactivity : Human
    Pred. Reactivity : Mouse, Xenopus
  • Applications : WB, IF, IHC, ELISA
    Reactivity : Human
    Pred. Reactivity : Mouse, Xenopus
  • Applications : WB, ELISA
    Reactivity : Human
    Pred. Reactivity : Mouse, Xenopus
  • Applications : WB, IHC, IF, ELISA
    Reactivity : Human
  • Applications : WB, IF, IHC, ELISA
    Reactivity : Human
  • Applications : WB, IF, ELISA
    Reactivity : Human
  • Applications : WB, ELISA (peptide)
    Reactivity : Human, Mouse
    Pred. Reactivity : Cow, Dog, Pig, Rat
  • Applications : WB
    Reactivity : Human, Rat
  • Applications : WB
    Reactivity : Human, Mouse, Rat

Description

PTEN (phosphatidylinositol-3,4,5-trisphosphate 3-phosphatase) contains a tensin like domain as well as a catalytic domain similar to that of the dual specificity protein tyrosine phosphatases. It was identified as a tumor suppressor that is mutated in a large number of cancers, including sporadic brain, breast, kidney, and prostate cancers.

Application Notes

Optimal dilution of the PTEN antibody should be determined by the researcher.

Immunogen

Recombinant full-length human PTEN protein was used as the immunogen for the PTEN antibody.

Storage

Aliquot the PTEN antibody and store frozen at -20oC or colder. Avoid repeated freeze-thaw cycles.

Cross
Bulk Quote Request Form
Name*:
Organization*:
Email*:
Phone Number*:
Catalog No.*:
Comments and Specifics(amount, formulation, etc.)*:
Validation code: Captchapackage Image


Can't read the image? click here to refresh.
    *required field

Your bulk quote request has been submitted successfully!

Please contact us if you have any questions.