• Tel: 858.663.9055
  • SeparatorEmail: info@nsjbio.com
  • Tel: 858.663.9055
  • Email: info@nsjbio.com
Home >> Antibodies >> PTEN Antibody

PTEN Antibody [clone PTEN/2110] (V3923)

  Catalog No Formulation Size Price (USD)  
Image V3923-100UG 0.2 mg/ml in 1X PBS with 0.1 mg/ml BSA (US sourced) and 0.05% sodium azide 100 ug 559
Image
V3923-20UG 0.2 mg/ml in 1X PBS with 0.1 mg/ml BSA (US sourced) and 0.05% sodium azide 20 ug 259
Image
V3923SAF-100UG 1 mg/ml in 1X PBS; BSA free, sodium azide free 100 ug 559
Microvalidated
Bulk quote request
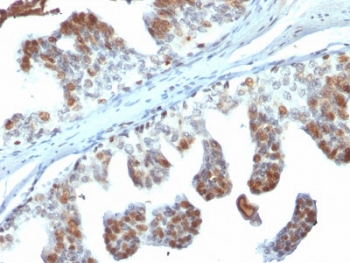
IHC testing of human prostate carcinoma with PTEN antibody (clone PTEN/2110). Required HIER: boil tissue sections in 10mM citrate buffer, pH 6, for 10-20 min followed by cooling at RT for 20 min.
IHC testing of human renal cell carcinoma with PTEN antibody (clone PTEN/2110). Required HIER: boil tissue sections in 10mM citrate buffer, pH 6, for 10-20 min followed by cooling at RT for 20 min.
Analysis of HuProt(TM) microarray containing more than 19,000 full-length human proteins using PTEN antibody (clone PTEN/2110). These results demonstrate the foremost specificity of the PTEN/2110 mAb.
Z- and S- score: The Z-score represents the strength of a signal that an antibody (in combination with a fluorescently-tagged anti-IgG secondary Ab) produces when binding to a particular protein on the HuProt(TM) array. Z-scores are described in units of standard deviations (SD's) above the mean value of all signals generated on that array. If the targets on the HuProt(TM) are arranged in descending order of the Z-score, the S-score is the difference (also in units of SD's) between the Z-scores. The S-score therefore represents the relative target specificity of an Ab to its intended target.
SDS-PAGE analysis of purified, BSA-free PTEN antibody (clone PTEN/2110) as confirmation of integrity and purity.
Availability 1-3 business days
Species Reactivity Human
Format Purified
Host Mouse
Clonality Monoclonal (mouse origin)
Isotype Mouse IgG2b, kappa
Clone Name PTEN/2110
Purity Protein G affinity chromatography
UniProt P60484
Localization Cytoplasmic, nuclear
Applications Immunohistochemistry (FFPE) : 1-2ug/ml for 30 min at RT
Limitations This PTEN antibody is available for research use only.
Review this product on BioCompare and get a $20 Amazon gift card

Related Products

  • Applications : WB, IHC
    Reactivity : Human
    Pred. Reactivity : Mouse
    Recrabbitmono
  • Applications : DB, ELISA
    Reactivity : Human
    Pred. Reactivity : Mouse
  • Applications : DB, ELISA
    Reactivity : Human
    Pred. Reactivity : Mouse, Xenopus
  • Applications : DB, ELISA
    Reactivity : Human
    Pred. Reactivity : Mouse, Xenopus
  • Applications : DB, ELISA
    Reactivity : Human
    Pred. Reactivity : Mouse, Xenopus
  • Applications : DB, ELISA
    Reactivity : Human
    Pred. Reactivity : Mouse
  • Applications : DB, ELISA
    Reactivity : Human
    Pred. Reactivity : Mouse
  • Applications : DB, ELISA
    Reactivity : Human
    Pred. Reactivity : Mouse, Xenopus
  • Applications : WB, IF, IHC, ELISA
    Reactivity : Human
    Pred. Reactivity : Mouse, Xenopus
  • Applications : WB, ELISA
    Reactivity : Human
    Pred. Reactivity : Mouse, Xenopus
  • Applications : WB, IHC, IF, ELISA
    Reactivity : Human
  • Applications : WB, IF, IHC, ELISA
    Reactivity : Human
  • Applications : WB, IF, ELISA
    Reactivity : Human
  • Applications : WB, ELISA (peptide)
    Reactivity : Human, Mouse
    Pred. Reactivity : Cow, Dog, Pig, Rat
  • Applications : WB
    Reactivity : Human, Rat
  • Applications : WB
    Reactivity : Human, Mouse, Rat

Description

PTEN (phosphatidylinositol-3,4,5-trisphosphate 3-phosphatase) contains a tensin like domain as well as a catalytic domain similar to that of the dual specificity protein tyrosine phosphatases. It was identified as a tumor suppressor that is mutated in a large number of cancers, including sporadic brain, breast, kidney, and prostate cancers.

Application Notes

Optimal dilution of the PTEN antibody should be determined by the researcher.

Immunogen

Full length human recombinant protein was used as the immunogen for this PTEN antibody.

Storage

Store the PTEN antibody at 2-8oC (with azide) or aliquot and store at -20oC or colder (without azide).

Cross
Bulk Quote Request Form
Name*:
Organization*:
Email*:
Phone Number*:
Catalog No.*:
Comments and Specifics(amount, formulation, etc.)*:
Validation code: Captchapackage Image


Can't read the image? click here to refresh.
    *required field

Your bulk quote request has been submitted successfully!

Please contact us if you have any questions.