• Tel: 858.663.9055
  • SeparatorEmail: info@nsjbio.com
  • Tel: 858.663.9055
  • Email: info@nsjbio.com
Home >> Antibodies >> PTBP1 Antibody

PTBP1 Antibody (R33455)

  Catalog No Formulation Size Price (USD)  
Image R33455-100UG 0.5 mg/ml in 1X TBS, pH7.3, with 0.5% BSA (US sourced) and 0.02% sodium azide 100 ug 475
Bulk quote request
Western blot testing of human ovay lysate with PTBP1 antibody at 0.1ug/ml. Predicted molecular weight ~57 kDa.
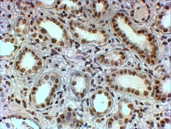
IHC staining of FFPE human kidney with PTBP1 antibody at 2ug/ml. HIER: steamed with pH9 Tris/EDTA buffer, HRP-staining.
Western blot of human A) HeLa, B) HepG2, C) Jurkat and D) HEK293 nuclear lysates with PTBP1 antibody at 0.01ug/ml. Predicted molecular weight ~57 kDa.
Western blot testing of 1) mouse ovary and 2) rat ovary lysate with PTBP1 antibody at 0.3ug/ml. Predicted molecular weight ~57 kDa.
Western blot testing of mouse NIH3T3 cell lysate with PTBP1 antibody at 0.03ug/ml. Predicted molecular weight ~57 kDa.
Availability 1-3 business days
Species Reactivity Human, Mouse, Rat
Predicted Reactivity Cow, Dog
Format Antigen affinity purified
Host Goat
Clonality Polyclonal (goat origin)
Isotype Goat Ig
Purity Antigen affinity
Gene ID 19205
Applications Western Blot : 0.1-0.3ug/ml
Immunohistochemistry (FFPE) : 2-4ug/ml
ELISA (peptide) LOD : 1:32000
Limitations This PTBP1 antibody is available for research use only.
Review this product on BioCompare and get a $20 Amazon gift card

Related Products

  • Applications : WB, IHC-P, IF, FACS
    Reactivity : Human, Mouse, Rat
  • Applications : WB, ELISA
    Reactivity : Human
    Pred. Reactivity : Bovine
  • Applications : WB, IHC-P, IF, FACS, Direct ELISA
    Reactivity : Human, Mouse, Rat

Description

Additional name(s) for this target protein: Polypyrimidine tract binding protein 1

Application Notes

Optimal dilution of the PTBP1 antibody should be determined by the researcher.

Immunogen

Amino acids DGIVPDIAVGTKR were used as the immunogen for this PTBP1 antibody.

Storage

Aliquot and store the PTBP1 antibody at -20oC.

Cross
Bulk Quote Request Form
Name*:
Organization*:
Email*:
Phone Number*:
Catalog No.*:
Comments and Specifics(amount, formulation, etc.)*:
Validation code: Captchapackage Image


Can't read the image? click here to refresh.
    *required field

Your bulk quote request has been submitted successfully!

Please contact us if you have any questions.