• Tel: 858.663.9055
  • SeparatorEmail: info@nsjbio.com
  • Tel: 858.663.9055
  • Email: info@nsjbio.com
Home >> Antibodies >> PSGL-1 Antibody / CD162

PSGL-1 Antibody / CD162 [clone PSGL1/1601] (V3226)

  Catalog No Formulation Size Price (USD)  
Image V3226-100UG 0.2 mg/ml in 1X PBS with 0.1 mg/ml BSA (US sourced) and 0.05% sodium azide 100 ug 559
Image
V3226-20UG 0.2 mg/ml in 1X PBS with 0.1 mg/ml BSA (US sourced) and 0.05% sodium azide 20 ug 259
Image
V3226SAF-100UG 1 mg/ml in 1X PBS; BSA free, sodium azide free 100 ug 559
Bulk quote request
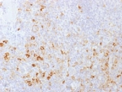
IHC testing of FFPE human spleen with PSGL-1 antibody (clone PSGL1/1601). Recommended HIER: boil tissue sections in 10mM Tris with 1mM EDTA, pH 9.0 for 10-20 min.
IHC testing of FFPE human tonsil with PSGL-1 antibody (clone PSGL1/1601). Recommended HIER: boil tissue sections in 10mM Tris with 1mM EDTA, pH 9.0 for 10-20 min.
Availability 1-3 business days
Species Reactivity Human
Format Purified
Host Mouse
Clonality Monoclonal (mouse origin)
Isotype Mouse IgG1, kappa
Clone Name PSGL1/1601
Purity Protein G affinity
UniProt Q14242
Localization Cell surface
Applications Immunohistochemistry (FFPE) : 0.5-1ug/ml for 30 min at RT
Limitations This PSGL-1 antibody is available for research use only.
Review this product on BioCompare and get a $20 Amazon gift card

Related Products

Description

P selectin glycoprotein ligand 1 (PSGL-1), also called CD162 glycoprotein, functions as a high affinity counter-receptor for the cell adhesion molecules P-, E- and L- selectin expressed on myeloid cells and stimulated T lymphocytes. As such, this protein plays a critical role in leukocyte trafficking during inflammation by tethering of leukocytes to activated platelets or endothelia expressing selectins. This protein requires two post-translational modifications, tyrosine sulfation and the addition of the sialyl Lewis x tetrasaccharide (sLex) to its O-linked glycans, for its high-affinity binding activity. Aberrant expression of this gene and polymorphisms in this gene are associated with defects in the innate and adaptive immune response.

Application Notes

Optimal dilution of the PSGL-1 antibody should be determined by the researcher.

Immunogen

Recombinant human PSGL-1 protein was used as the immunogen for the PSGL-1 antibody.

Storage

Store the PSGL-1 antibody at 2-8oC (with azide) or aliquot and store at -20oC or colder (without azide).

Cross
Bulk Quote Request Form
Name*:
Organization*:
Email*:
Phone Number*:
Catalog No.*:
Comments and Specifics(amount, formulation, etc.)*:
Validation code: Captchapackage Image


Can't read the image? click here to refresh.
    *required field

Your bulk quote request has been submitted successfully!

Please contact us if you have any questions.