• Tel: 858.663.9055
  • SeparatorEmail: info@nsjbio.com
  • Tel: 858.663.9055
  • Email: info@nsjbio.com
Home >> Antibodies >> PRDX1 Antibody

PRDX1 Antibody (R35859)

  Catalog No Formulation Size Price (USD)  
Image R35859-100UG 0.5 mg/ml in 1X TBS, pH7.3, with 0.5% BSA (US sourced) and 0.02% sodium azide 100 ug 475
Bulk quote request
Western blot testing of HepG2 lysate with PRDX1 antibody at 0.01ug/ml. Predicted molecular weight: 22 kDa.
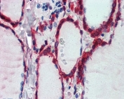
IHC testing of FFPE human thyroid gland tissue with PRDX1 antibody at 2.5ug/ml. Required HIER: steamed antigen retrieval with pH6 citrate buffer; AP-staining.
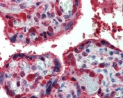
IHC testing of FFPE human placental tissue with PRDX1 antibody at 2.5ug/ml. Required HIER: steamed antigen retrieval with pH6 citrate buffer; AP-staining.
Availability 1-3 business days
Species Reactivity Human
Predicted Reactivity Mouse, Rat, Dog, Pig, Cow
Format Antigen affinity purified
Host Goat
Clonality Polyclonal (goat origin)
Isotype Goat Ig
Purity Antigen affinity
Gene ID 5052
Localization Cytoplasmic
Applications Western Blot : 0.01-0.03ug/ml
IHC (FFPE) : 2.5ug/ml
ELISA (peptide) LOD : 1:32000
Limitations This PRDX1 antibody is available for research use only.
Review this product on BioCompare and get a $20 Amazon gift card

Related Products

Description

Additional name(s) for this target protein: Peroxiredoxin 1

Application Notes

Optimal dilution of the PRDX1 antibody should be determined by the researcher.

Immunogen

Amino acids SDPKRTIAQDYG were used as the immunogen for this PRDX1 antibody.

Storage

Aliquot and store the PRDX1 antibody at -20oC.

Cross
Bulk Quote Request Form
Name*:
Organization*:
Email*:
Phone Number*:
Catalog No.*:
Comments and Specifics(amount, formulation, etc.)*:
Validation code: Captchapackage Image


Can't read the image? click here to refresh.
    *required field

Your bulk quote request has been submitted successfully!

Please contact us if you have any questions.