• Tel: 858.663.9055
  • SeparatorEmail: info@nsjbio.com
  • Tel: 858.663.9055
  • Email: info@nsjbio.com
Home >> Antibodies >> PPWD1 Antibody / Peptidylprolyl isomerase domain and WD repeat-containing protein 1

PPWD1 Antibody / Peptidylprolyl isomerase domain and WD repeat-containing protein 1 (RQ8202)

  Catalog No Formulation Size Price (USD)  
Image RQ8202 0.5mg/ml if reconstituted with 0.2ml sterile DI water 100 ug 449
Bulk quote request
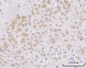
IHC staining of FFPE mouse brain tissue with PPWD1 antibody. HIER: boil tissue sections in pH8 EDTA for 20 min and allow to cool before testing.
IHC staining of FFPE rat brain tissue with PPWD1 antibody. HIER: boil tissue sections in pH8 EDTA for 20 min and allow to cool before testing.
Immunofluorescent staining of FFPE human U-2 OS cells with PPWD1 antibody (red) and DAPI nuclear stain (blue). HIER: steam section in pH6 citrate buffer for 20 min.
Western blot testing of 1) human 293T, 2) human HeLa, 3) human Jurkat, 4) rat brain, 5) rat kidney, 6) mouse brain, 7) mouse kidney and 8) mouse SP2/0 cell lysate with PPWD1 antibody. Predicted molecular weight ~74 kDa.
Flow cytometry testing of fixed and permeabilized human 293T cells with PPWD1 antibody at 1ug/million cells (blocked with goat sera); Red=cells alone, Green=isotype control, Blue= PPWD1 antibody.
Availability 1-3 business days
Species Reactivity Human, Mouse, Rat
Format Antigen affinity purified
Host Rabbit
Clonality Polyclonal (rabbit origin)
Isotype Rabbit IgG
Purity Antigen affinity purified
Buffer Lyophilized from 1X PBS with 2% Trehalose
UniProt Q96BP3
Applications Western Blot : 0.5-1ug/ml
Immunohistochemistry (FFPE) : 2-5ug/ml
Immunofluorescence : 5ug/ml
Flow Cytometry : 1-3ug/million cells
Direct ELISA : 0.1-0.5ug/ml
Limitations This PPWD1 antibody is available for research use only.
Review this product on BioCompare and get a $20 Amazon gift card

Description

Putative peptidylprolyl isomerase (PPIase). PPIases accelerate the folding of proteins. It catalyzes the cis-trans isomerization of proline imidic peptide bonds in oligopeptides. May be involved in pre-mRNA splicing.

Application Notes

Optimal dilution of the PPWD1 antibody should be determined by the researcher.

Immunogen

E. coli-derived recombinant human protein (amino acids D188-N529) was used as the immunogen for the PPWD1 antibody.

Storage

After reconstitution, the PPWD1 antibody can be stored for up to one month at 4oC. For long-term, aliquot and store at -20oC. Avoid repeated freezing and thawing.

Cross
Bulk Quote Request Form
Name*:
Organization*:
Email*:
Phone Number*:
Catalog No.*:
Comments and Specifics(amount, formulation, etc.)*:
Validation code: Captchapackage Image


Can't read the image? click here to refresh.
    *required field

Your bulk quote request has been submitted successfully!

Please contact us if you have any questions.