• Tel: 858.663.9055
  • SeparatorEmail: info@nsjbio.com
  • Tel: 858.663.9055
  • Email: info@nsjbio.com
Home >> Antibodies >> PPPDE1 Antibody

PPPDE1 Antibody (R33862)

  Catalog No Formulation Size Price (USD)  
Image R33862-100UG 0.5 mg/ml in 1X TBS, pH7.3, with 0.5% BSA (US sourced) and 0.02% sodium azide 100 ug 475
Bulk quote request
Western blot testing of HEK293 lysate overexpressing human PPPDE1-MYC probed with PPPDE1 antibody (0.5ug/ml) in Lane A and anti-MYC (1/5000) in lane C. Mock-transfected HEK293 probed with PPPDE1 antibody (1ug/ml) in Lane B.
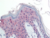
IHC testing of FFPE human skin with PPPDE1 antibody at 10ug/ml. Required HIER: steamed antigen retrieval with pH6 citrate buffer; AP-staining.
Availability 1-3 business days
Species Reactivity Human
Predicted Reactivity Mouse, Rat, Dog, Pig, Cow
Format Antigen affinity purified
Host Goat
Clonality Polyclonal (goat origin)
Isotype Goat Ig
Purity Antigen affinity
Gene ID 51029
Localization Cytoplasmic
Applications Western Blot : 0.5-2ug/ml
IHC (FFPE) : 10ug/ml
ELISA (peptide) LOD : 1:32000
Limitations This PPPDE1 antibody is available for research use only.
Review this product on BioCompare and get a $20 Amazon gift card

Description

Additional name(s) for this target protein: PPPDE peptidase domain containing 1; PNAS4

Application Notes

Optimal dilution of the PPPDE1 antibody should be determined by the researcher.

Immunogen

Amino acids ELGKEYKGNAYH were used as the immunogen for this PPPDE1 antibody.

Storage

Aliquot and store the PPPDE1 antibody at -20oC.

Cross
Bulk Quote Request Form
Name*:
Organization*:
Email*:
Phone Number*:
Catalog No.*:
Comments and Specifics(amount, formulation, etc.)*:
Validation code: Captchapackage Image


Can't read the image? click here to refresh.
    *required field

Your bulk quote request has been submitted successfully!

Please contact us if you have any questions.