• Tel: 858.663.9055
  • SeparatorEmail: info@nsjbio.com
  • Tel: 858.663.9055
  • Email: info@nsjbio.com
Home >> Antibodies >> PPP1R15A Antibody / GADD34

PPP1R15A Antibody / GADD34 (RQ7100)

  Catalog No Formulation Size Price (USD)  
Image RQ7100 0.5mg/ml if reconstituted with 0.2ml sterile DI water 100 ug 449
Bulk quote request
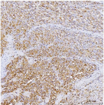
IHC staining of FFPE human melanoma tissue with PPP1R15A antibody. HIER: boil tissue sections in pH8 EDTA for 20 min and allow to cool before testing.
Western blot testing of 1) human K562, 2) human HEL, 3) human RT4, 4) human U-251, 5) human SiHa, 6) human U-87 MG, 7) human PC-3 and 8) rat testis tissue lysate with PPP1R15A antibody. Predicted molecular weight ~73 kDa, can be observed at up to ~110 kDa.
Availability 1-3 business days
Species Reactivity Human, Rat
Format Antigen affinity purified
Host Rabbit
Clonality Polyclonal (rabbit origin)
Isotype Rabbit IgG
Purity Antigen affinity purified
Buffer Lyophilized from 1X PBS with 2% Trehalose
UniProt O75807
Localization Nuclear, cytoplasmic
Applications Western Blot : 0.5-1ug/ml
Immunohistochemistry (FFPE) : 2-5ug/ml
Direct ELISA : 0.1-0.5ug/ml
Limitations This PPP1R15A antibody is available for research use only.
Review this product on BioCompare and get a $20 Amazon gift card

Related Products

  • Applications : WB, IHC, ICC/IF, FACS, ELISA (peptide)
    Reactivity : Human
  • Applications : WB
    Reactivity : Human
  • Applications : WB, FACS, Direct ELISA
    Reactivity : Mouse

Description

Protein phosphatase 1 regulatory subunit 15A also known as growth arrest and DNA damage-inducible protein GADD34 is a protein that in humans is encoded by the PPP1R15A gene.

Application Notes

Optimal dilution of the PPP1R15A antibody should be determined by the researcher.

Immunogen

Recombinant human protein (amino acids A574-E602) was used as the immunogen for the PPP1R15A antibody.

Storage

After reconstitution, the PPP1R15A antibody can be stored for up to one month at 4oC. For long-term, aliquot and store at -20oC. Avoid repeated freezing and thawing.

Cross
Bulk Quote Request Form
Name*:
Organization*:
Email*:
Phone Number*:
Catalog No.*:
Comments and Specifics(amount, formulation, etc.)*:
Validation code: Captchapackage Image


Can't read the image? click here to refresh.
    *required field

Your bulk quote request has been submitted successfully!

Please contact us if you have any questions.