• Tel: 858.663.9055
  • SeparatorEmail: info@nsjbio.com
  • Tel: 858.663.9055
  • Email: info@nsjbio.com
Home >> Antibodies >> POLR1B Antibody / DNA-directed RNA polymerase I subunit RPA2

POLR1B Antibody / DNA-directed RNA polymerase I subunit RPA2 (RQ8040)

  Catalog No Formulation Size Price (USD)  
Image RQ8040 0.5mg/ml if reconstituted with 0.2ml sterile DI water 100 ug 449
Bulk quote request
Immunofluorescent staining of FFPE human PC-3 cells with POLR1B antibody (red) and DAPI nuclear stain (blue). HIER: steam section in pH6 citrate buffer for 20 min.
IHC staining of FFPE human breast cancer tissue with POLR1B antibody. HIER: boil tissue sections in pH8 EDTA for 20 min and allow to cool before testing.
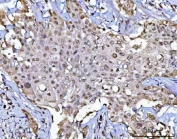
IHC staining of FFPE human lymphoma tissue with POLR1B antibody. HIER: boil tissue sections in pH8 EDTA for 20 min and allow to cool before testing.
Western blot testing of human 1) K562, 2) HepG2 and 3) 293T cell lysate with POLR1B antibody. Predicted molecular weight ~128 kDa.
Flow cytometry testing of fixed and permeabilized human A431 cells with POLR1B antibody at 1ug/million cells (blocked with goat sera); Red=cells alone, Green=isotype control, Blue= POLR1B antibody.
Availability 1-3 business days
Species Reactivity Human
Format Antigen affinity purified
Host Rabbit
Clonality Polyclonal (rabbit origin)
Isotype Rabbit IgG
Purity Antigen affinity purified
Buffer Lyophilized from 1X PBS with 2% Trehalose
UniProt Q9H9Y6
Localization Nuclear, cytoplasmic
Applications Western Blot : 0.5-1ug/ml
Immunohistochemistry (FFPE) : 2-5ug/ml
Flow Cytometry : 1-3ug/million cells
Immunofluorescence : 5ug/ml
Direct ELISA : 0.1-0.5ug/ml
Limitations This POLR1B antibody is available for research use only.
Review this product on BioCompare and get a $20 Amazon gift card

Description

DNA-directed RNA polymerase I subunit RPA2 is an enzyme that in humans is encoded by the POLR1B gene. Eukaryotic RNA polymerase I (pol I) is responsible for the transcription of ribosomal RNA (rRNA) genes and production of rRNA, the primary component of ribosomes. Pol I is a multisubunit enzyme composed of 6 to 14 polypeptides, depending on the species. Most of the mass of the pol I complex derives from the 2 largest subunits, Rpa1 and Rpa2 in yeast. POLR1B is homologous to Rpa2.

Application Notes

Optimal dilution of the POLR1B antibody should be determined by the researcher.

Immunogen

E. coli-derived recombinant human protein (amino acids H18-V1135) was used as the immunogen for the POLR1B antibody.

Storage

After reconstitution, the POLR1B antibody can be stored for up to one month at 4oC. For long-term, aliquot and store at -20oC. Avoid repeated freezing and thawing.

Cross
Bulk Quote Request Form
Name*:
Organization*:
Email*:
Phone Number*:
Catalog No.*:
Comments and Specifics(amount, formulation, etc.)*:
Validation code: Captchapackage Image


Can't read the image? click here to refresh.
    *required field

Your bulk quote request has been submitted successfully!

Please contact us if you have any questions.