• Tel: 858.663.9055
  • SeparatorEmail: info@nsjbio.com
  • Tel: 858.663.9055
  • Email: info@nsjbio.com
Home >> Antibodies >> POLDIP2 Antibody

POLDIP2 Antibody (R34668)

  Catalog No Formulation Size Price (USD)  
Image R34668-100UG 0.5 mg/ml in 1X TBS, pH7.3, with 0.5% BSA (US sourced) and 0.02% sodium azide 100 ug 475
Bulk quote request
Western blot testing of K562 [A], MCF7 [B] and mouse liver [C] lysates with POLDIP2 antibody at 1ug/ml. Although the theoretical mass is ~42 kDa, POLDIP2 contains an N-terminal mitochondrial targeting sequence that is cleaved upon import, producing a mature ~37 kDa species that predominates in endogenous samples.
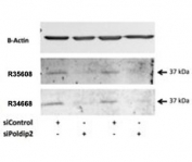
Western blot testing of rat VSMC lysate with POLDIP2 antibody at 0.5ug/ml (Cat # R35068 and R34668). Signal is reduced by specific siRNA but not control.
Western blot of mouse liver lysate with POLDIP2 antibody at 2ug/ml. Although the theoretical mass is ~42 kDa, POLDIP2 contains an N-terminal mitochondrial targeting sequence that is cleaved upon import, producing a mature ~37 kDa species that predominates in endogenous samples.
Availability 1-3 business days
Species Reactivity Human, Mouse, Rat
Predicted Reactivity Dog, Cow
Format Antigen affinity purified
Host Goat
Clonality Polyclonal (goat origin)
Isotype Goat Ig
Purity Antigen affinity
Gene ID 26073
Applications Western Blot : 1-3ug/ml
ELISA (peptide) LOD : 1:8000
Limitations This POLDIP2 antibody is available for research use only.
Review this product on BioCompare and get a $20 Amazon gift card

Related Products

Description

Additional name(s) for this target protein: Polymerase delta-interacting protein 2

Application Notes

Optimal dilution of the POLDIP2 antibody should be determined by the researcher.

Immunogen

Amino acids KTHTYYQVLIDARDC were used as the immunogen for this POLDIP2 antibody.

Storage

Aliquot and store the POLDIP2 antibody at -20oC.

Cross
Bulk Quote Request Form
Name*:
Organization*:
Email*:
Phone Number*:
Catalog No.*:
Comments and Specifics(amount, formulation, etc.)*:
Validation code: Captchapackage Image


Can't read the image? click here to refresh.
    *required field

Your bulk quote request has been submitted successfully!

Please contact us if you have any questions.