• Tel: 858.663.9055
  • SeparatorEmail: info@nsjbio.com
  • Tel: 858.663.9055
  • Email: info@nsjbio.com
Home >> Antibodies >> Podoplanin Antibody / PA2.26 antigen / Gp36

Podoplanin Antibody / PA2.26 antigen / Gp36 [clone PDPN/8950R] (V4702)

  Catalog No Formulation Size Price (USD)  
Image V4702-100UG 0.2 mg/ml in 1X PBS with 0.1 mg/ml BSA (US sourced), 0.05% sodium azide 100 ug 559
Image
V4702-20UG 0.2 mg/ml in 1X PBS with 0.1 mg/ml BSA (US sourced), 0.05% sodium azide 20 ug 259
Image
V4702SAF-100UG 1 mg/ml in 1X PBS; BSA free, sodium azide free 100 ug 559
Microvalidated Recrabbitmono
Bulk quote request
Western blot testing of human lung tissue lysate with Podoplanin antibody. Predicted molecular weight ~25 kDa but may be observed at higher molecular weights due to glycosylation.
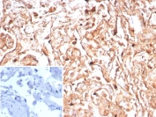
IHC staining of FFPE human tonsil tissue with Podoplanin antibody (clone PDPN/8950R). Inset: PBS used in place of primary Ab (secondary Ab negative control). HIER: boil tissue sections in pH 9 10mM Tris with 1mM EDTA for 20 min and allow to cool before testing.
SDS-PAGE analysis of purified, BSA-free Podoplanin antibody (clone PDPN/8950R) as confirmation of integrity and purity.
Availability 1-3 business days
Species Reactivity Human
Format Purified
Host Rabbit
Clonality Recombinant Rabbit Monoclonal
Isotype Rabbit IgG, kappa
Clone Name PDPN/8950R
Purity Protein A/G affinity
UniProt Q86YL7
Localization Cell surface
Applications Immunohistochemistry (FFPE) : 1-2ug/ml for 30 min at RT
Western Blot : 2-4ug/ml
Limitations This Podoplanin antibody is available for research use only.
Review this product on BioCompare and get a $20 Amazon gift card

Related Products

Description

It recognizes a muco-protein of 38-43kDa, which is identified as Podoplanin (PDPN), also called Glycoprotein 36 (Gp36). It localizes in stromal cells of peripheral lymphoid tissue and thymic epithelial cells. As a regulator of the lymphatic endothelium, podoplanin probably plays a role in maintaining the unique shape of podocytes. It is selectively expressed in lymphatic endothelium as well as lymphoangiomas, Kaposi sarcomas, and in a subset of angiosarcomas with probable lymphatic differentiation. Recent studies have also shown podoplanin to be a highly sensitive and relatively specific marker for epithelioid mesothelioma. Therefore, it can be used in a panel to distinguish mesotheliomas or mesothelial cells from pulmonary carcinomas.

Application Notes

Optimal dilution of the Podoplanin antibody should be determined by the researcher.

Immunogen

A recombinant fragment of human PDPN protein was used as the immunogen for the Podoplanin antibody.

Storage

Aliquot the Podoplanin antibody and store frozen at -20oC or colder. Avoid repeated freeze-thaw cycles.

Cross
Bulk Quote Request Form
Name*:
Organization*:
Email*:
Phone Number*:
Catalog No.*:
Comments and Specifics(amount, formulation, etc.)*:
Validation code: Captchapackage Image


Can't read the image? click here to refresh.
    *required field

Your bulk quote request has been submitted successfully!

Please contact us if you have any questions.