• Tel: 858.663.9055
  • SeparatorEmail: info@nsjbio.com
  • Tel: 858.663.9055
  • Email: info@nsjbio.com
Home >> Antibodies >> PLK2 Antibody / Polo-like kinase 2

PLK2 Antibody / Polo-like kinase 2 (R31246)

  Catalog No Formulation Size Price (USD)  
Image R31246 0.5mg/ml if reconstituted with 0.2ml sterile DI water 100 ug 449
Bulk quote request
Western blot testing of PLK2 antibody and Lane 1: A431; 2: 293T; 3: COLO320 cell lysate. Predicted molecular weight ~78 kDa.
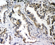
IHC-P: PLK2 antibody testing of human lung cancer tissue. HIER: steam section in pH6 citrate buffer for 20 min and allow to cool prior to staining.
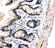
IHC-P: PLK2 antibody testing of rat intestine tissue. HIER: steam section in pH6 citrate buffer for 20 min and allow to cool prior to staining.
IHC-P testing of PLK2 antibody and rat brain tissue. HIER: steam section in pH6 citrate buffer for 20 min and allow to cool prior to staining.
Flow cytometry testing of human A549 cells with PLK2 antibody at 1ug/10^6 cells (blocked with goat sera); Red=cells alone, Green=isotype control, Blue=PLK2 antibody.
Availability 1-3 business days
Species Reactivity Human, Mouse, Rat
Format Antigen affinity purified
Host Rabbit
Clonality Polyclonal (rabbit origin)
Isotype Rabbit IgG
Purity Antigen affinity
Buffer Lyophilized from 1X PBS with 2.5% BSA and 0.025% sodium azide/thimerosal
UniProt Q9NYY3
Localization Cytoplasmic, nuclear
Applications Western Blot : 0.5-1ug/ml
IHC (FFPE) : 0.5-1ug/ml
Immunocytochemistry : 0.5-1ug/ml
Flow Cytometry : 1-3ug/10^6 cells
Limitations This PLK2 antibody is available for research use only.
Review this product on BioCompare and get a $20 Amazon gift card

Related Products

Description

Polo-like kinase 2, also known as SNK, is an enzyme that in humans is encoded by the PLK2 gene. It is a member of the polo family of serine/threonine protein kinases that have a role in normal cell division. The International Radiation Hybrid Mapping Consortium mapped the gene to chromosome 5. Polo-like kinase 2 is involved in synaptic plasticity, centriole duplication and G1/S phase transition. This gene plays a key role in synaptic plasticity and memory by regulating the Ras and Rap protein signalin: required for overactivity-dependent spine remodeling by phosphorylating the Ras activator RASGRF1 and the Rap inhibitor SIPA1L1 leading to their degradation by the proteasome.

Application Notes

The stated application concentrations are suggested starting amounts. Titration of the PLK2 antibody may be required due to differences in protocols and secondary/substrate sensitivity.

Immunogen

An amino acid sequence from the C-terminus of human Polo-like kinase 2 (SSELKNRMEYALNMLLQRCN) was used as the immunogen for this PLK2 antibody.

Storage

After reconstitution, the PLK2 antibody can be stored for up to one month at 4oC. For long-term, aliquot and store at -20oC. Avoid repeated freezing and thawing.

Cross
Bulk Quote Request Form
Name*:
Organization*:
Email*:
Phone Number*:
Catalog No.*:
Comments and Specifics(amount, formulation, etc.)*:
Validation code: Captchapackage Image


Can't read the image? click here to refresh.
    *required field

Your bulk quote request has been submitted successfully!

Please contact us if you have any questions.