• Tel: 858.663.9055
  • SeparatorEmail: info@nsjbio.com
  • Tel: 858.663.9055
  • Email: info@nsjbio.com
Home >> Antibodies >> PKC alpha Antibody

PKC alpha Antibody (R31731)

  Catalog No Formulation Size Price (USD)  
Image R31731 0.5mg/ml if reconstituted with 0.2ml sterile DI water 100 ug 449
Bulk quote request
Western blot testing of PKC alpha antibody and Lane 1: rat brain; 2: mouse brain; 3: (m) heart; 4: human 22RV1. Predicted molecular weight: ~77 kDa.
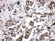
IHC staining of FFPE human breast cancer with PKC alpha antibody at 1ug/ml. HIER: boil tissue sections in pH6, 10mM citrate buffer, for 10-20 min and allow to cool before testing.
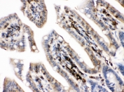
IHC staining of FFPE mouse intestinal tissue with PKC alpha antibody at 1ug/ml. HIER: boil tissue sections in pH6, 10mM citrate buffer, for 10-20 min and allow to cool before testing.
IHC staining of FFPE rat intestinal tissue with PKC alpha antibody at 1ug/ml. HIER: boil tissue sections in pH6, 10mM citrate buffer, for 10-20 min and allow to cool before testing.
Availability 1-3 business days
Species Reactivity Human, Mouse, Rat
Format Antigen affinity purified
Host Rabbit
Clonality Polyclonal (rabbit origin)
Isotype Rabbit IgG
Purity Antigen affinity
Buffer Lyophilized from 1X PBS with 2.5% BSA and 0.025% sodium azide
Gene ID 5578
Applications Western Blot : 0.5-1ug/ml
Immunohistochemistry (FFPE) : 1-2ug/ml
Limitations This PKC alpha antibody is available for research use only.
Review this product on BioCompare and get a $20 Amazon gift card

Related Products

Description

Protein kinase C is the major phorbol ester receptor. Activation of PKC by calcium ions and the second messenger diacylglycerol is thought to play a central role in the induction of cellular responses to a variety of ligand-receptor systems and in the regulation of cellular responsiveness to external stimuli. Three of these, termed alpha, beta and gamma, are highly homologous. PRKCA1 is mapped to 17q22-q23.2. PRKCA1 regulates cardiac contractility and propensity toward heart failure.

Application Notes

The stated application concentrations are suggested starting amounts. Titration of the PKC alpha antibody may be required due to differences in protocols and secondary/substrate sensitivity.

Immunogen

Human partial recombinant protein (AA 153-342) was used as the immunogen for this PKC alpha antibody.

Storage

After reconstitution, the PKC alpha antibody can be stored for up to one month at 4oC. For long-term, aliquot and store at -20oC. Avoid repeated freezing and thawing.

Cross
Bulk Quote Request Form
Name*:
Organization*:
Email*:
Phone Number*:
Catalog No.*:
Comments and Specifics(amount, formulation, etc.)*:
Validation code: Captchapackage Image


Can't read the image? click here to refresh.
    *required field

Your bulk quote request has been submitted successfully!

Please contact us if you have any questions.