• Tel: 858.663.9055
  • SeparatorEmail: info@nsjbio.com
  • Tel: 858.663.9055
  • Email: info@nsjbio.com
Home >> Antibodies >> PIN1 Antibody

PIN1 Antibody [clone 855CT1.7.5] (F52353)

  Catalog No Formulation Size Price (USD)  
Image F52353-0.4ML In 1X PBS, pH 7.4, with 0.09% sodium azide 0.4 ml 439
Image
F52353-0.08ML In 1X PBS, pH 7.4, with 0.09% sodium azide 0.08 ml 205
Bulk quote request
Immunohistochemical analysis of paraffin-embedded human breast using PIN1 antibody at 1:25 dilution.
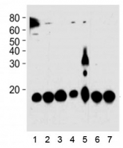
PIN1 antibody western blot analysis in 1) HeLa, 2) 293, 3) mouse NIH3T3, 4) rat PC-12, 5) COS-7 cell line, 6) mouse brain, and 7) rat brain tissue lysate. Expected molecular weight ~18kDa.
Availability 1-3 business days
Species Reactivity Human, Mouse, Rat
Format Purified
Host Mouse
Clonality Monoclonal (mouse origin)
Isotype Mouse IgG1
Clone Name 855CT1.7.5
Purity Purified
UniProt Q13526
Applications IHC (Paraffin) : 1:25
Western Blot : 1:1000
Limitations This PIN1 antibody is available for research use only.
Review this product on BioCompare and get a $20 Amazon gift card

Related Products

Description

Essential PPIase that regulates mitosis presumably by interacting with NIMA and attenuating its mitosis-promoting activity. Displays a preference for an acidic residue N-terminal to the isomerized proline bond. Catalyzes pSer/Thr-Pro cis/trans isomerizations. Down-regulates kinase activity of BTK. Can transactivate multiple oncogenes and induce centrosome amplification, chromosome instability and cell transformation. Required for the efficient dephosphorylation and recycling of RAF1 after mitogen activation.

Application Notes

Titration of the PIN1 antibody may be required due to differences in protocols and secondary/substrate sensitivity.

Immunogen

Purified His-tagged protein was used to produced this monoclonal PIN1 antibody.

Storage

Aliquot the PIN1 antibody and store frozen at -20oC or colder. Avoid repeated freeze-thaw cycles.

Cross
Bulk Quote Request Form
Name*:
Organization*:
Email*:
Phone Number*:
Catalog No.*:
Comments and Specifics(amount, formulation, etc.)*:
Validation code: Captchapackage Image


Can't read the image? click here to refresh.
    *required field

Your bulk quote request has been submitted successfully!

Please contact us if you have any questions.