- Tel: 858.663.9055
- 
									 Email: info@nsjbio.com Email: info@nsjbio.com
- Tel: 858.663.9055
- Email: info@nsjbio.com
 Email: info@nsjbio.com
Email: info@nsjbio.com
								Related Products
| 
 | 
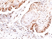
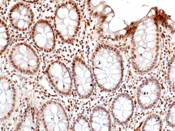
This antibody reacts to human JNK1, JNK2, and JNK3 only when phosphorylated at Thr183 and Tyr185.
The stated application concentrations are suggested starting points. Titration of the recombinant phosphorylated JNK antibody may be required due to differences in protocols and secondary/substrate sensitivity.
A phospho-peptide corresponding to human Phospho-JNK1/2/3 (Thr183/Tyr185) was used as the immunogen for the recombinant phosphorylated JNK antibody.
Store the recombinant phosphorylated JNK antibody at -20oC.
 
Your bulk quote request has been submitted successfully!
Please contact us if you have any questions.