• Tel: 858.663.9055
  • SeparatorEmail: info@nsjbio.com
  • Tel: 858.663.9055
  • Email: info@nsjbio.com
Home >> Antibodies >> Phospholipid transfer protein Antibody / PLTP

Phospholipid transfer protein Antibody / PLTP (RQ6393)

  Catalog No Formulation Size Price (USD)  
Image RQ6393 0.5mg/ml if reconstituted with 0.2ml sterile DI water 100 ug 449
Bulk quote request
IHC staining of FFPE human ovarian cancer with Phospholipid transfer protein antibody. HIER: boil tissue sections in pH8 EDTA for 20 min and allow to cool before testing.
IHC staining of FFPE human rectal cancer with Phospholipid transfer protein antibody. HIER: boil tissue sections in pH8 EDTA for 20 min and allow to cool before testing.
IHC staining of FFPE human breast cancer with Phospholipid transfer protein antibody. HIER: boil tissue sections in pH8 EDTA for 20 min and allow to cool before testing.
Immunofluorescent staining of FFPE human PC-3 cells with Phospholipid transfer protein antibody (green) and DAPI nuclear stain (blue). HIER: steam section in pH6 citrate buffer for 20 min.
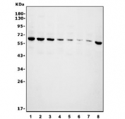
Western blot testing of human 1) HEK293, 2) SW620, 3) HeLa, 4) PC-3, 5) A549, 6) SGC-7901, 7) Caco-2 and 8) Jurkat cell lysate with Phospholipid transfer protein antibody. Predicted molecular weight ~55 kDa.
Flow cytometry testing of human Caco-2 cells with Phospholipid transfer protein antibody at 1ug/million cells (blocked with goat sera); Red=cells alone, Green=isotype control, Blue= Phospholipid transfer protein antibody.
Availability 1-3 business days
Species Reactivity Human
Format Purified
Host Rabbit
Clonality Polyclonal (rabbit origin)
Isotype Rabbit IgG
Purity Antigen affinity purified
Buffer Lyophilized from 1X PBS with 2% Trehalose
UniProt P55058
Localization Cytoplasmic, nuclear, secreted
Applications Western Blot : 0.5-1ug/ml
Immunohistochemistry (FFPE) : 2-5ug/ml
Immunofluorescence (FFPE) : 5ug/ml
Flow Cytometry : 1-3ug/million cells
Direct ELISA : 0.1-0.5ug/ml
Limitations This Phospholipid transfer protein antibody is available for research use only.
Review this product on BioCompare and get a $20 Amazon gift card

Related Products

Description

Phospholipid transfer protein (PLTP), also known as lipid transfer protein II is a protein that in humans is encoded by the PLTP gene. This gene is mapped to 20q13.12. The protein encoded by this gene is one of at least two lipid transfer proteins found in human plasma. The encoded protein transfers phospholipids from triglyceride-rich lipoproteins to high density lipoprotein (HDL). In addition to regulating the size of HDL particles, this protein may be involved in cholesterol metabolism. At least two transcript variants encoding different isoforms have been found for this gene.

Application Notes

Optimal dilution of the Phospholipid transfer protein antibody should be determined by the researcher.

Immunogen

Recombinant human protein (amino acids E18-E470) was used as the immunogen for the Phospholipid transfer protein antibody.

Storage

After reconstitution, the Phospholipid transfer protein antibody can be stored for up to one month at 4oC. For long-term, aliquot and store at -20oC. Avoid repeated freezing and thawing.

Cross
Bulk Quote Request Form
Name*:
Organization*:
Email*:
Phone Number*:
Catalog No.*:
Comments and Specifics(amount, formulation, etc.)*:
Validation code: Captchapackage Image


Can't read the image? click here to refresh.
    *required field

Your bulk quote request has been submitted successfully!

Please contact us if you have any questions.