• Tel: 858.663.9055
  • SeparatorEmail: info@nsjbio.com
  • Tel: 858.663.9055
  • Email: info@nsjbio.com
Home >> Antibodies >> Phospho-Vimentin Antibody (pS72)

Phospho-Vimentin Antibody (pS72) [clone ADE-22] (RQ5249)

  Catalog No Formulation Size Price (USD)  
Image RQ5249 Antibody in PBS with 0.02% sodium azide, 50% glycerol and 0.4-0.5mg/ml BSA 100 ul 449
Microvalidated Rab Mono Image
Bulk quote request
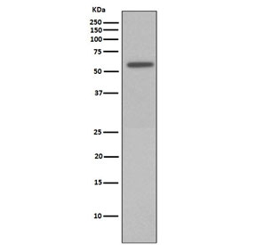
Western blot testing of lysate from Calyculin A-treated HeLa cells with phospho-Vimentin antibody (pS72). Expected molecular weight: 53-58 kDa.
Availability 1-2 weeks
Species Reactivity Human
Format Purified
Host Rabbit
Clonality Rabbit Monoclonal
Isotype Rabbit IgG
Clone Name ADE-22
Purity Affinity purified
UniProt P08670
Applications Western Blot : 1:500-1:2000
Limitations This phospho-Vimentin antibody (pS72) is available for research use only.
Review this product on BioCompare and get a $20 Amazon gift card

Related Products

Description

The VIM gene encodes a type III intermediate filament protein. Intermediate filaments, along with microtubules and actin microfilaments, make up the cytoskeleton. The encoded protein is responsible for maintaining cell shape and integrity of the cytoplasm, and stabilizing cytoskeletal interactions. This protein is involved in neuritogenesis and cholesterol transport and functions as an organizer of a number of other critical proteins involved in cell attachment, migration, and signaling. [RefSeq]

Application Notes

Optimal dilution of the phospho-Vimentin antibody (pS72) should be determined by the researcher.

Immunogen

A synthetic peptide specific to human Vimentin (surrounding phosphorylated serine 72) was used as the immunogen for the phospho-Vimentin antibody.

Storage

Store the phospho-Vimentin antibody (pS72) at -20oC.

Cross
Bulk Quote Request Form
Name*:
Organization*:
Email*:
Phone Number*:
Catalog No.*:
Comments and Specifics(amount, formulation, etc.)*:
Validation code: Captchapackage Image


Can't read the image? click here to refresh.
    *required field

Your bulk quote request has been submitted successfully!

Please contact us if you have any questions.