• Tel: 858.663.9055
  • SeparatorEmail: info@nsjbio.com
  • Tel: 858.663.9055
  • Email: info@nsjbio.com
Home >> Antibodies >> Phospho-CREB1 Antibody (pS133)

Phospho-CREB1 Antibody (pS133) [clone IG-3] (RQ5477)

  Catalog No Formulation Size Price (USD)  
Image RQ5477 Antibody in PBS with 0.02% sodium azide, 50% glycerol and 0.4-0.5mg/ml BSA 100 ul 449
Microvalidated Rab Mono Image
Bulk quote request
Western blot testing of lysate from human HeLa cells treated with Calyculin A, with phospho-CREB1 antibody (pS133). Expected molecular weight: 37-43 kDa.
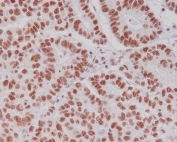
IHC staining of FFPE human gastric carcinoma with phospho-CREB1 antibody (pS133) antibody. HIER: boil tissue sections in pH6, 10mM citrate buffer, for 10-20 min and allow to cool before testing.
Availability 1-2 weeks
Species Reactivity Human
Format Purified
Host Rabbit
Clonality Rabbit Monoclonal
Isotype Rabbit IgG
Clone Name IG-3
Purity Affinity purified
UniProt P16220
Localization Nuclear
Applications Western Blot : 1:500-1:2000
Immunohistochemistry (FFPE) : 1:50-1:200
Limitations This phospho-CREB1 antibody (pS133) is available for research use only.
Review this product on BioCompare and get a $20 Amazon gift card

Related Products

Description

The CREB1 gene encodes a transcription factor that is a member of the leucine zipper family of DNA binding proteins. This protein binds as a homodimer to the cAMP-responsive element, an octameric palindrome. The protein is phosphorylated by several protein kinases, and induces transcription of genes in response to hormonal stimulation of the cAMP pathway. Alternate splicing of this gene results in several transcript variants encoding different isoforms. [RefSeq]

Application Notes

Optimal dilution of the phospho-CREB1 antibody (pS133) should be determined by the researcher.

Immunogen

A synthetic peptide specific to human CREB (surrounding pS133) was used as the immunogen for the CREB1 antibody.

Storage

Store the phospho-CREB1 antibody (pS133) at -20oC.

Cross
Bulk Quote Request Form
Name*:
Organization*:
Email*:
Phone Number*:
Catalog No.*:
Comments and Specifics(amount, formulation, etc.)*:
Validation code: Captchapackage Image


Can't read the image? click here to refresh.
    *required field

Your bulk quote request has been submitted successfully!

Please contact us if you have any questions.