• Tel: 858.663.9055
  • SeparatorEmail: info@nsjbio.com
  • Tel: 858.663.9055
  • Email: info@nsjbio.com
Home >> Antibodies >> Phospho-CBL Antibody (pS669)

Phospho-CBL Antibody (pS669) [clone 28C46] (RQ8379)

  Catalog No Formulation Size Price (USD)  
Image RQ8379 Antibody in PBS with 0.02% sodium azide, 50% glycerol and 0.4-0.5mg/ml BSA 100 ul 449
Microvalidated Recrabbitmono
Bulk quote request
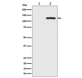
Western blot testing of lysate from human HeLa cells 1) untreated and 2) pervanadate-treated, with Phospho-CBL antibody.
Availability 1-3 business days
Species Reactivity Human
Format Purified
Host Rabbit
Clonality Recombinant Rabbit Monoclonal
Isotype Rabbit IgG
Clone Name 28C46
Purity Affinity chromatography
UniProt P22681
Applications Western Blot : 1:500-1:2000
Limitations This Phospho-CBL antibody is available for research use only.
Review this product on BioCompare and get a $20 Amazon gift card

Related Products

Description

Casitas B-lineage lymphoma proto-oncogene / CBL is an adapter protein that functions as a negative regulator of many signaling pathways that are triggered by activation of cell surface receptors. [UniProt]

Application Notes

Optimal dilution of the Phospho-CBL antibody should be determined by the researcher.

Immunogen

A synthetic peptide derived from the area surrounding phosphorylated serine 669 of human CBL was used as the immunogen for the Phospho-CBL antibody.

Storage

Store the Phospho-CBL antibody at -20oC.

Cross
Bulk Quote Request Form
Name*:
Organization*:
Email*:
Phone Number*:
Catalog No.*:
Comments and Specifics(amount, formulation, etc.)*:
Validation code: Captchapackage Image


Can't read the image? click here to refresh.
    *required field

Your bulk quote request has been submitted successfully!

Please contact us if you have any questions.