• Tel: 858.663.9055
  • SeparatorEmail: info@nsjbio.com
  • Tel: 858.663.9055
  • Email: info@nsjbio.com
Home >> Antibodies >> Phosphatidylethanolamine-binding protein 1 Antibody / PEBP1 / PBP / RKIP

Phosphatidylethanolamine-binding protein 1 Antibody / PEBP1 / PBP / RKIP (F54963)

  Catalog No Formulation Size Price (USD)  
Image F54963-0.4ML In 1X PBS, pH 7.4, with 0.09% sodium azide 0.4 ml 439
Image
F54963-0.08ML In 1X PBS, pH 7.4, with 0.09% sodium azide 0.08 ml 205
Bulk quote request
Western blot testing of mouse NIH 3T3 cell lysate with Phosphatidylethanolamine-binding protein 1 antibody. Predicted molecular weight ~21 kDa.
Western blot testing of human HEK293 cell lysate with Phosphatidylethanolamine-binding protein 1 antibody. Predicted molecular weight ~21 kDa.
Western blot testing of 1) non-transfected and 2) transfected 293 cell lysate with Phosphatidylethanolamine-binding protein 1 antibody.
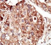
IHC testing of FFPE human cancer tissue with Phosphatidylethanolamine-binding protein 1 antibody. HIER: steam section in pH6 citrate buffer for 20 min and allow to cool prior to staining.
Availability 1-3 business days
Species Reactivity Human, Mouse
Format Purified
Host Rabbit
Clonality Polyclonal (rabbit origin)
Isotype Rabbit Ig
Purity Purified
UniProt P30086
Localization Cytoplasmic
Applications Western Blot : 1:500-1:1000
Immunohistochemistry (FFPE) : 1:50-1:100
Limitations This Phosphatidylethanolamine-binding protein 1 antibody is available for research use only.
Review this product on BioCompare and get a $20 Amazon gift card

Related Products

  • Applications : WB, IHC-P
    Reactivity : Mouse, Rat
  • Applications : WB, IHC, ELISA (peptide)
    Reactivity : Human
    Pred. Reactivity : Cow, Dog, Mouse, Pig, Rat
  • Applications : WB, IHC-P, ELISA (peptide)
    Reactivity : Human, Mouse
    Pred. Reactivity : Cow, Dog, Rat
  • Applications : WB, ELISA (peptide)
    Reactivity : Human
    Pred. Reactivity : Cow, Dog, Mouse, Pig, Rat
  • Applications : WB, IHC-P, FACS
    Reactivity : Human, Mouse
  • Applications : IHC-P, WB
    Reactivity : Human

Description

Phosphatidylethanolamine-binding protein 1 (PBP) binds ATP, opioids and phosphatidylethanolamine, exhibiting a lower affinity for phosphatidylinositol and phosphatidylcholine. This serine protease inhibitor inhibits thrombin, neuropsin and chymotrypsin but not trypsin, tissue type plasminogen activator and elastase. PBP contains hippocampal cholinergic neurostimulating peptide (HCNP), which may be involved in the function of the presynaptic cholinergic neurons of the central nervous system. HCNP increases the production of choline acetyltransferase but not acetylcholinesterase.

Application Notes

The stated application concentrations are suggested starting points. Titration of the Phosphatidylethanolamine-binding protein 1 antibody may be required due to differences in protocols and secondary/substrate sensitivity.

Immunogen

A portion of amino acids 137-167 from the human protein was used as the immunogen for the Phosphatidylethanolamine-binding protein 1 antibody.

Storage

Aliquot the Phosphatidylethanolamine-binding protein 1 antibody and store frozen at -20oC or colder. Avoid repeated freeze-thaw cycles.

Cross
Bulk Quote Request Form
Name*:
Organization*:
Email*:
Phone Number*:
Catalog No.*:
Comments and Specifics(amount, formulation, etc.)*:
Validation code: Captchapackage Image


Can't read the image? click here to refresh.
    *required field

Your bulk quote request has been submitted successfully!

Please contact us if you have any questions.