• Tel: 858.663.9055
  • SeparatorEmail: info@nsjbio.com
  • Tel: 858.663.9055
  • Email: info@nsjbio.com
Home >> Antibodies >> PHEX Antibody / HYP / PEX

PHEX Antibody / HYP / PEX (RQ5999)

  Catalog No Formulation Size Price (USD)  
Image RQ5999 0.5mg/ml if reconstituted with 0.2ml sterile DI water 100 ug 449
Bulk quote request
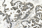
IHC staining of FFPE human ovarian cancer with PHEX antibody. HIER: boil tissue sections in pH8 EDTA for 20 min and allow to cool before testing.
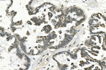
IHC staining of FFPE human lung cancer with PHEX antibody. HIER: boil tissue sections in pH8 EDTA for 20 min and allow to cool before testing.
Flow cytometry testing of human A549 cells with PHEX antibody at 1ug/million cells (blocked with goat sera); Red=cells alone, Green=isotype control, Blue= PHEX antibody.
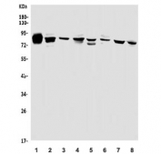
Western blot testing of 1) rat ovary, 2) rat kidney, 3) mouse ovary, 4) mouse kidney, 5) human HEK293, 6) monkey kidney, 7) rat NRK and 8) monkey COS-7 cell lysate with PHEX antibody. Predicted molecular weight ~86 kDa.
Availability 1-3 business days
Species Reactivity Human, Mouse, Rat
Format Antigen affinity purified
Host Rabbit
Clonality Polyclonal (rabbit origin)
Isotype Rabbit IgG
Purity Affinity purified
Buffer Lyophilized from 1X PBS with 2% Trehalose and 0.025% sodium azide
UniProt P78562
Applications Western Blot : 0.5-1ug/ml
Immunohistochemistry : 1-2ug/ml
Flow Cytometry : 1-3ug/million cells
Direct ELISA : 0.1-0.5ug/ml
Limitations This PHEX antibody is available for research use only.
Review this product on BioCompare and get a $20 Amazon gift card

Related Products

Description

Phosphate-regulating neutral endopeptidase, X-linked also known as phosphate-regulating gene with homologies to endopeptidases on the X chromosome or metalloendopeptidase homolog PEX is an enzyme that in humans is encoded by the PHEX gene. It is mapped to Xp22.11. The protein encoded by this gene is a transmembrane endopeptidase that belongs to the type II integral membrane zinc-dependent endopeptidase family. The protein is thought to be involved in bone and dentin mineralization and renal phosphate reabsorption. Mutations in this gene cause X-linked hypophosphatemic rickets. Alternative splicing results in multiple transcript variants.

Application Notes

Optimal dilution of the PHEX antibody should be determined by the researcher.

Immunogen

Recombinant human protein (amino acids E145-N718) was used as the immunogen for the PHEX antibody.

Storage

After reconstitution, the PHEX antibody can be stored for up to one month at 4oC. For long-term, aliquot and store at -20oC. Avoid repeated freezing and thawing.

Cross
Bulk Quote Request Form
Name*:
Organization*:
Email*:
Phone Number*:
Catalog No.*:
Comments and Specifics(amount, formulation, etc.)*:
Validation code: Captchapackage Image


Can't read the image? click here to refresh.
    *required field

Your bulk quote request has been submitted successfully!

Please contact us if you have any questions.