• Tel: 858.663.9055
  • SeparatorEmail: info@nsjbio.com
  • Tel: 858.663.9055
  • Email: info@nsjbio.com
Home >> Antibodies >> Phenylalanine hydroxylase Antibody / PAH

Phenylalanine hydroxylase Antibody / PAH [clone 717CT21.1.1] (F54526)

  Catalog No Formulation Size Price (USD)  
Image F54526-0.4ML In 1X PBS, pH 7.4, with 0.09% sodium azide 0.4 ml 439
Image
F54526-0.08ML In 1X PBS, pH 7.4, with 0.09% sodium azide 0.08 ml 205
Bulk quote request
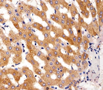
IHC testing of FFPE human liver tissue with Phenylalanine hydroxylase antibody. HIER: steam section in pH6 citrate buffer for 20 min and allow to cool prior to staining.
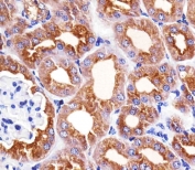
IHC testing of FFPE human kidney tissue with Phenylalanine hydroxylase antibody. HIER: steam section in pH6 citrate buffer for 20 min and allow to cool prior to staining.
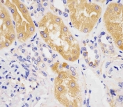
IHC testing of FFPE mouse kidney tissue with Phenylalanine hydroxylase antibody. HIER: steam section in pH6 citrate buffer for 20 min and allow to cool prior to staining.
Western blot testing of 1) human HepG2, 2) mouse liver and 3) rat liver lysate with Phenylalanine hydroxylase antibody. Predicted molecular weight ~52 kDa.
Availability 1-3 business days
Species Reactivity Human, Mouse, Rat
Format Purified
Host Mouse
Clonality Monoclonal (mouse origin)
Isotype IgG1, kappa
Clone Name 717CT21.1.1
Purity Protein G affinity
UniProt P00439
Applications Immunohistochemistry (FFPE) : 1:25
Western Blot : 1:500-1:2000
Limitations This Phenylalanine hydroxylase antibody is available for research use only.
Review this product on BioCompare and get a $20 Amazon gift card

Related Products

Description

Phenylalanine hydroxylase / PAH catalyzes the hydroxylation of L-phenylalanine to L-tyrosine. [UniProt]

Application Notes

The stated application concentrations are suggested starting points. Titration of the Phenylalanine hydroxylase antibody may be required due to differences in protocols and secondary/substrate sensitivity.

Immunogen

Recombinant human protein was used as the immunogen for the Phenylalanine hydroxylase antibody.

Storage

Aliquot the Phenylalanine hydroxylase antibody and store frozen at -20oC or colder. Avoid repeated freeze-thaw cycles.

Cross
Bulk Quote Request Form
Name*:
Organization*:
Email*:
Phone Number*:
Catalog No.*:
Comments and Specifics(amount, formulation, etc.)*:
Validation code: Captchapackage Image


Can't read the image? click here to refresh.
    *required field

Your bulk quote request has been submitted successfully!

Please contact us if you have any questions.