• Tel: 858.663.9055
  • SeparatorEmail: info@nsjbio.com
  • Tel: 858.663.9055
  • Email: info@nsjbio.com
Home >> Antibodies >> PGK1 Antibody / Phosphoglycerate kinase 1

PGK1 Antibody / Phosphoglycerate kinase 1 (R31155)

  Catalog No Formulation Size Price (USD)  
Image R31155 0.5mg/ml if reconstituted with 0.2ml sterile DI water 100 ug 449
Bulk quote request
Western blot testing of PGK1 antbody; Lane 1: rat liver; 2: (r) brain; 3: (r) lung; and human samples 4: A431; 5: COLO320; 6: HeLa; 7: A549; 8: Jurkat cell lysate. Expected/observed molecular weight ~44kDa.
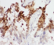
IHC-P: PGK1 antibody testing of human lung cancer tissue. HIER: steamed with pH6 citrate buffer.
Availability 1-3 business days
Species Reactivity Human, Mouse, Rat
Format Antigen affinity purified
Host Rabbit
Clonality Polyclonal (rabbit origin)
Isotype Rabbit IgG
Purity Antigen affinity
Buffer Lyophilized from 1X PBS with 2.5% BSA and 0.025% sodium azide/thimerosal
UniProt P00558
Localization Nuclear, cytoplasmic
Applications Western Blot : 0.5-1ug/ml
IHC (FFPE) : 0.5-1ug/ml
Limitations This PGK1 antibody is available for research use only.
Review this product on BioCompare and get a $20 Amazon gift card

Related Products

Description

Phosphoglycerate Kinase 1, also known as PGKA, is an enzyme that in humans is encoded by the PGK1 gene. Willard et al. (1985) used a cDNA for human PGK to map the functional PGK1 gene to Xq13. Disulfide bonds in secreted proteins are considered to be inert because of the oxidizing nature of the extracellular milieu. An exception to this rule is a reductase secreted by tumor cells that reduces disulfide bonds in the serine proteinase plasmin. Lay et al. (2000) showed that the plasmin reductase isolated from conditioned medium of fibrosarcoma cells is the glycolytic enzyme phosphoglycerate kinase. Recombinant phosphoglycerate kinase had the same specific activity as the fibrosarcoma-derived protein. Plasma of mice bearing fibrosarcoma tumors contained several-fold more phosphoglycerate kinase, as compared with mice without tumors.

Application Notes

The stated application concentrations are suggested starting amounts. Titration of the PGK1 antibody may be required due to differences in protocols and secondary/substrate sensitivity.

Immunogen

An amino acid sequence from the middle region of human Phosphoglycerate Kinase 1 (FGTAHRAHSSMVGVN) was used as the immunogen for this PGK1 antibody (100% homologous in human, mouse and rat).

Storage

After reconstitution, the PGK1 antibody can be stored for up to one month at 4oC. For long-term, aliquot and store at -20oC. Avoid repeated freezing and thawing.

Cross
Bulk Quote Request Form
Name*:
Organization*:
Email*:
Phone Number*:
Catalog No.*:
Comments and Specifics(amount, formulation, etc.)*:
Validation code: Captchapackage Image


Can't read the image? click here to refresh.
    *required field

Your bulk quote request has been submitted successfully!

Please contact us if you have any questions.