• Tel: 858.663.9055
  • SeparatorEmail: info@nsjbio.com
  • Tel: 858.663.9055
  • Email: info@nsjbio.com
Home >> Antibodies >> PFKL Antibody / ATP-PFK / ATP-dependent 6-phosphofructokinase liver type

PFKL Antibody / ATP-PFK / ATP-dependent 6-phosphofructokinase liver type (F55104)

  Catalog No Formulation Size Price (USD)  
Image F55104-0.4ML In 1X PBS, pH 7.4, with 0.09% sodium azide 0.4 ml 439
Image
F55104-0.08ML In 1X PBS, pH 7.4, with 0.09% sodium azide 0.08 ml 205
Bulk quote request
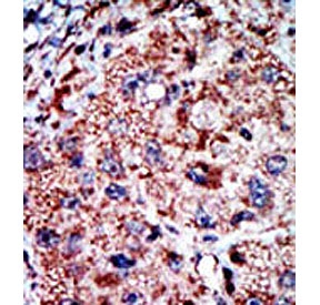
IHC staining of FFPE human cancer tissue with PFKL antibody. HIER: steam section in pH6 citrate buffer for 20 min and allow to cool prior to staining.
Western blot testing of human HepG2 cell lysate with PFKL antibody. Predicted molecular weight ~85 kDa.
Availability 1-3 business days
Species Reactivity Human
Format Purified
Host Rabbit
Clonality Polyclonal (rabbit origin)
Isotype Rabbit Ig
UniProt P17858
Localization Cytoplasm
Applications Western Blot : 1:500-1:1000
Immunohistochemistry (FFPE) : 1:50-1:100
Limitations This PFKL antibody is available for research use only.
Review this product on BioCompare and get a $20 Amazon gift card

Description

The PFKL protein is an enzyme that catalyzes the conversion of fructose-6-phosphate to fructose-1,6-bisphosphate, a key step in the glycolytic pathway. It also plays a role in regulating glucose metabolism, which is crucial for maintaining healthy blood sugar levels. Dysregulation of the PFKL protein has been linked to metabolic disorders such as diabetes and obesity. While it is primarily found in the liver, where it helps regulate glucose production, it is also found in other tissues such as skeletal muscle and adipose tissue.

Application Notes

The stated application concentrations are suggested starting points. Titration of the PFKL antibody may be required due to differences in protocols and secondary/substrate sensitivity.

Immunogen

A portion of amino acids 669-699 from the human protein was used as the immunogen for the PFKL antibody.

Storage

Aliquot the PFKL antibody and store frozen at -20oC or colder. Avoid repeated freeze-thaw cycles.

Cross
Bulk Quote Request Form
Name*:
Organization*:
Email*:
Phone Number*:
Catalog No.*:
Comments and Specifics(amount, formulation, etc.)*:
Validation code: Captchapackage Image


Can't read the image? click here to refresh.
    *required field

Your bulk quote request has been submitted successfully!

Please contact us if you have any questions.