• Tel: 858.663.9055
  • SeparatorEmail: info@nsjbio.com
  • Tel: 858.663.9055
  • Email: info@nsjbio.com
Home >> Antibodies >> PECAM1 Antibody / CD31

PECAM1 Antibody / CD31 [clone CEE-16] (RQ5479)

  Catalog No Formulation Size Price (USD)  
Image RQ5479 Antibody in PBS with 0.02% sodium azide, 50% glycerol and 0.4-0.5mg/ml BSA 100 ul 449
Microvalidated Rab Mono Image
Bulk quote request
Western blot testing of human ThP-1 cell lysate with PECAM1 antibody. Expected molecular weight: 83-130 kDa depending on level of glycosylation.
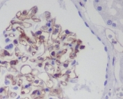
IHC staining of FFPE human kidney tissue with PECAM1 antibody. HIER: boil tissue sections in pH6, 10mM citrate buffer, for 10-20 min and allow to cool before testing.
Availability 1-2 weeks
Species Reactivity Human
Format Purified
Host Rabbit
Clonality Rabbit Monoclonal
Isotype Rabbit IgG
Clone Name CEE-16
Purity Affinity purified
UniProt P16284
Localization Cell surface, cytoplasmic
Applications Western Blot : 1:500-1:2000
Immunohistochemistry (FFPE) : 1:50-1:200
Limitations This PECAM1 antibody is available for research use only.
Review this product on BioCompare and get a $20 Amazon gift card

Related Products

Description

The protein encoded by the PECAM1 gene is found on the surface of platelets, monocytes, neutrophils, and some types of T-cells, and makes up a large portion of endothelial cell intercellular junctions. The encoded protein is a member of the immunoglobulin superfamily and is likely involved in leukocyte migration, angiogenesis, and integrin activation. [RefSeq]

Application Notes

Optimal dilution of the PECAM1 antibody should be determined by the researcher.

Immunogen

A synthetic peptide specific to human CD31 / PECAM1 was used as the immunogen for the PECAM1 antibody.

Storage

Store the PECAM1 antibody at -20oC.

Cross
Bulk Quote Request Form
Name*:
Organization*:
Email*:
Phone Number*:
Catalog No.*:
Comments and Specifics(amount, formulation, etc.)*:
Validation code: Captchapackage Image


Can't read the image? click here to refresh.
    *required field

Your bulk quote request has been submitted successfully!

Please contact us if you have any questions.