• Tel: 858.663.9055
  • SeparatorEmail: info@nsjbio.com
  • Tel: 858.663.9055
  • Email: info@nsjbio.com
Home >> Antibodies >> PEBP1 Antibody / PBP / RKIP

PEBP1 Antibody / PBP / RKIP (R33691)

  Catalog No Formulation Size Price (USD)  
Image R33691-100UG 0.5 mg/ml in 1X TBS, pH7.3, with 0.5% BSA (US sourced) and 0.02% sodium azide 100 ug 475
Bulk quote request
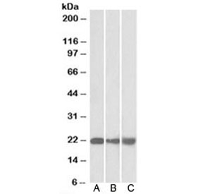
Western blot of mouse NIH3T3 (A), and human HEK293 (B) and HepG2 (C) lysate with PEBP1 antibody at 0.01ug/ml. Predicted molecular weight: ~21 kDa.
Western blot of human cerebellum (A) and mouse testis (B) lysate with PEBP1 antibody at 0.01ug/ml. Predicted molecular weight: ~21 kDa.
Western blot testing of A549 lysate with PEBP1 antibody at 0.01ug/ml. Predicted molecular weight: ~21 kDa.
IHC staining of FFPE human cortex with PEBP1 antibody at 1.5ug/ml. HIER: steamed with pH6 citrate buffer, AP-staining.
IHC staining of FFPE human prostate tissue with PEBP1 antibody at 5ug/ml. HIER: steamed with pH6 citrate buffer, AP-staining.
Availability 1-3 business days
Species Reactivity Human, Mouse
Predicted Reactivity Cow, Dog, Rat
Format Antigen affinity purified
Host Goat
Clonality Polyclonal (goat origin)
Isotype Goat Ig
Purity Antigen affinity
Gene ID 5037
Localization Cytoplasmic
Applications Western Blot : 0.01-0.03ug/ml
Immunohistochemistry (FFPE) : 1-5ug/ml
ELISA (peptide) LOD : 1:16000
Limitations This PEBP1 antibody is available for research use only.
Review this product on BioCompare and get a $20 Amazon gift card

Related Products

  • Applications : WB, IHC-P
    Reactivity : Mouse, Rat
  • Applications : WB, IHC, ELISA (peptide)
    Reactivity : Human
    Pred. Reactivity : Cow, Dog, Mouse, Pig, Rat
  • Applications : WB, ELISA (peptide)
    Reactivity : Human
    Pred. Reactivity : Cow, Dog, Mouse, Pig, Rat
  • Applications : WB, IHC-P, FACS
    Reactivity : Human, Mouse
  • Applications : IHC-P, WB
    Reactivity : Human
  • Applications : WB, IHC-P
    Reactivity : Human, Mouse

Description

Additional name(s) for this target protein: Phosphatidylethanolamine binding protein 1

Application Notes

Optimal dilution of the PEBP1 antibody should be determined by the researcher.

Immunogen

Amino acids DYVPKLYEQLSGK were used as the immunogen for this PEBP1 antibody.

Storage

Aliquot and store the PEBP1 antibody at -20oC.

Cross
Bulk Quote Request Form
Name*:
Organization*:
Email*:
Phone Number*:
Catalog No.*:
Comments and Specifics(amount, formulation, etc.)*:
Validation code: Captchapackage Image


Can't read the image? click here to refresh.
    *required field

Your bulk quote request has been submitted successfully!

Please contact us if you have any questions.