• Tel: 858.663.9055
  • SeparatorEmail: info@nsjbio.com
  • Tel: 858.663.9055
  • Email: info@nsjbio.com
Home >> Antibodies >> PDX1 Antibody / Pyruvate dehydrogenase protein X / PDXH

PDX1 Antibody / Pyruvate dehydrogenase protein X / PDXH (F47892)

  Catalog No Formulation Size Price (USD)  
Image F47892-0.4ML In 1X PBS, pH 7.4, with 0.09% sodium azide 0.4 ml 439
Image
F47892-0.08ML In 1X PBS, pH 7.4, with 0.09% sodium azide 0.08 ml 205
Bulk quote request
Fluorescent confocal image of SY5Y cells stained with PDX1 antibody. Alexa Fluor 488 conjugated secondary (green) was used. Nuclei were counterstained with Hoechst 33342 (blue) (10 ug/ml, 5 min). Note the highly specific localization of the PDX1 immunosignal to the nucleus.
Western blot analysis of PDX1 antibody and NCI-H460 lysate. Predicted molecular weight ~54kDa.
Western blot analysis of PDX1 antibody and 293 cell lysate either nontransfected (Lane 1) or transiently transfected with the PDX1 gene (2).
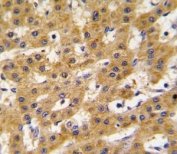
IHC analysis of FFPE human hepatocarcinoma tissue stained with PDX1 antibody
Availability 1-3 business days
Species Reactivity Human
Predicted Reactivity Mouse, Rat
Format Antigen affinity purified
Host Rabbit
Clonality Polyclonal (rabbit origin)
Isotype Rabbit Ig
Purity Antigen affinity
UniProt O00330
Applications Immunofluorescence : 1:100
Western Blot : 1:1000
IHC (Paraffin) : 1:10-1:50
Limitations This PDX1 antibody is available for research use only.
Review this product on BioCompare and get a $20 Amazon gift card

Related Products

Description

PDX1/PDHX, located in the mitochondrial matrix, is required for anchoring dihydrolipoamide dehydrogenase (E3) to the dihydrolipoamide transacetylase (E2) core of the pyruvate dehydrogenase complexes of eukaryotes. This specific binding is essential for a functional PDH complex. Eukaryotic pyruvate dehydrogenase complexes are organized about a core consisting of the oligomeric dihydrolipoamide acetyl-transferase, around which are arranged multiple copies of pyruvate dehydrogenase, dihydrolipoamide dehydrogenase and protein X bound by noncovalent bonds. Defects in PDHX are a cause of lacticacidemia. PDX1 belongs to the 2-oxoacid dehydrogenase family and contains 1 lipoyl-binding domain.

Application Notes

Titration of the PDX1 antibody may be required due to differences in protocols and secondary/substrate sensitivity.

Immunogen

A portion of amino acids 1-30 from the human protein was used as the immunogen for this PDX1 antibody.

Storage

Aliquot the PDX1 antibody and store frozen at -20oC or colder. Avoid repeated freeze-thaw cycles.

Cross
Bulk Quote Request Form
Name*:
Organization*:
Email*:
Phone Number*:
Catalog No.*:
Comments and Specifics(amount, formulation, etc.)*:
Validation code: Captchapackage Image


Can't read the image? click here to refresh.
    *required field

Your bulk quote request has been submitted successfully!

Please contact us if you have any questions.