• Tel: 858.663.9055
  • SeparatorEmail: info@nsjbio.com
  • Tel: 858.663.9055
  • Email: info@nsjbio.com
Home >> Antibodies >> PDX1 Antibody / Pancreas/duodenum homeobox protein 1

PDX1 Antibody / Pancreas/duodenum homeobox protein 1 (F50728)

  Catalog No Formulation Size Price (USD)  
Image F50728-0.4ML In 1X PBS, pH 7.4, with 0.09% sodium azide 0.4 ml 439
Image
F50728-0.08ML In 1X PBS, pH 7.4, with 0.09% sodium azide 0.08 ml 205
Bulk quote request
Western blot analysis of PDX1 antibody and 293 cell lysate either nontransfected (Lane 1) or transiently transfected with the PDX1 gene (2). Observed molecular weight 31/40~46kDa (unmodified/modified).
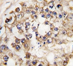
IHC analysis of FFPE human testis tissue stained with PDX1 antibody
Availability 1-3 business days
Species Reactivity Human
Format Antigen affinity purified
Host Rabbit
Clonality Polyclonal (rabbit origin)
Isotype Rabbit Ig
Purity Antigen affinity
UniProt P52945
Applications Western Blot : 1:1000
IHC (Paraffin) : 1:10-1:50
Limitations This PDX1 antibody is available for research use only.
Review this product on BioCompare and get a $20 Amazon gift card

Related Products

Description

PDX1 is a transcriptional activator of several genes, including insulin, somatostatin, glucokinase, islet amyloid polypeptide, and glucose transporter type 2. This nuclear protein is involved in the early development of the pancreas and plays a major role in glucose-dependent regulation of insulin gene expression. Defects in the gene encoding PDX1 are a cause of pancreatic agenesis, which can lead to early-onset insulin-dependent diabetes mellitus (NIDDM), as well as maturity onset diabetes of the young type 4 (MODY4).

Application Notes

Titration of the PDX1 antibody may be required due to differences in protocols and secondary/substrate sensitivity.

Immunogen

A portion of amino acids 40-69 from the human protein was used as the immunogen for this PDX1 antibody.

Storage

Aliquot the PDX1 antibody and store frozen at -20oC or colder. Avoid repeated freeze-thaw cycles.

Cross
Bulk Quote Request Form
Name*:
Organization*:
Email*:
Phone Number*:
Catalog No.*:
Comments and Specifics(amount, formulation, etc.)*:
Validation code: Captchapackage Image


Can't read the image? click here to refresh.
    *required field

Your bulk quote request has been submitted successfully!

Please contact us if you have any questions.