• Tel: 858.663.9055
  • SeparatorEmail: info@nsjbio.com
  • Tel: 858.663.9055
  • Email: info@nsjbio.com
Home >> Antibodies >> PDE5A Antibody

PDE5A Antibody (R32652)

  Catalog No Formulation Size Price (USD)  
Image R32652 0.5mg/ml if reconstituted with 0.2ml sterile DI water 100 ug 449
Bulk quote request
Western blot testing of 1) rat lung and 2) human PANC1 lysate with PDE5A antibody at 0.5ug/ml. Predicted molecular weight ~100 kDa (isoform 1).
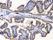
IHC testing of FFPE human thyroid cancer tissue with PDE5A antibody at 1ug/ml. Required HIER: steam section in pH6 citrate buffer for 20 min and allow to cool prior to testing.
Availability 1-3 business days
Species Reactivity Human, Rat
Format Antigen affinity purified
Host Rabbit
Clonality Polyclonal (rabbit origin)
Isotype Rabbit IgG
Purity Antigen affinity
Buffer Lyophilized from 1X PBS with 2.5% BSA, 0.025% sodium azide
UniProt O76074
Localization Cytoplasmic
Applications Western Blot : 0.5-1ug/ml
IHC (FFPE) : 1-2ug/ml
Limitations This PDE5A antibody is available for research use only.
Review this product on BioCompare and get a $20 Amazon gift card

Related Products

  • Applications : WB, ELISA (peptide)
    Reactivity : Human
    Pred. Reactivity : Rat, Dog, Cow

Description

cGMP-specific phosphodiesterase type 5 is an enzyme from the phosphodiesterase class. It is found in various tissues, most prominently the corpus cavernosum and the retina. It has also been recently discovered to play a vital role in the cardiovascular system. Furthermore, PDE5A also plays a role in signal transduction by regulating the intracellular concentration of cyclic nucleotides. This PDE5A gene is mapped to 4q26.

Application Notes

Optimal dilution of the PDE5A antibody should be determined by the researcher.

Immunogen

Amino acids 20-63 (QKQQQRDQDSVEAWLDDHWDFTFSYFVRKATREMVNAWFAERVH) from the human protein were used as the immunogen for the PDE5A antibody.

Storage

After reconstitution, the PDE5A antibody can be stored for up to one month at 4oC. For long-term, aliquot and store at -20oC. Avoid repeated freezing and thawing.

Cross
Bulk Quote Request Form
Name*:
Organization*:
Email*:
Phone Number*:
Catalog No.*:
Comments and Specifics(amount, formulation, etc.)*:
Validation code: Captchapackage Image


Can't read the image? click here to refresh.
    *required field

Your bulk quote request has been submitted successfully!

Please contact us if you have any questions.