• Tel: 858.663.9055
  • SeparatorEmail: info@nsjbio.com
  • Tel: 858.663.9055
  • Email: info@nsjbio.com
Home >> Antibodies >> PD1 Antibody / PDCD1

PD1 Antibody / PDCD1 [clone RMP1-14] (V8347)

  Catalog No Formulation Size Price (USD)  
Image V8347-100UG 0.2 mg/ml in 1X PBS with 0.1 mg/ml BSA (US sourced) and 0.05% sodium azide 100 ug 559
Image
V8347-20UG 0.2 mg/ml in 1X PBS with 0.1 mg/ml BSA (US sourced) and 0.05% sodium azide 20 ug 259
Image
V8347SAF-100UG 1 mg/ml in 1X PBS; BSA free, sodium azide free 100 ug 559
Bulk quote request
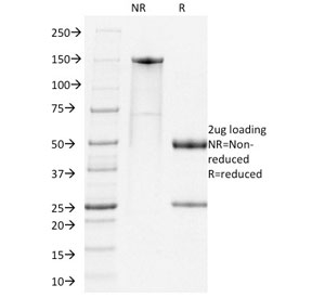
SDS-PAGE analysis of purified, BSA-free PD1 antibody (clone RMP1-14) as confirmation of integrity and purity.
Availability 1-3 business days
Species Reactivity Mouse
Format Purified
Host Rat
Clonality Monoclonal (rat origin)
Isotype Rat IgG2a, kappa
Clone Name RMP1-14
Purity Protein G affinity chromatography
UniProt Q02242
Applications ELISA (order BSA/azide-free Format For Coating) :
Neutralization Studies (order BSA/azide-free Format) :
Flow Cytometry : 1-2ug/10^6 cells in 0.1ml
Immunofluorescence : 0.5-1ug/ml
Limitations This PD1 antibody is available for research use only.
Review this product on BioCompare and get a $20 Amazon gift card

Related Products

Description

PD-1 is expressed on a subset of CD4-CD8-thymocytes, and on activated T and B cells. PD-1 is thought to be involved in lymphocyte clonal selection and peripheral tolerance. The PD-1 ligands, PD-L1 (also known as B7-H1) and PD-L2 (B7-DC), are members of the B7 immunoglobulin superfamily. PD-1 is transiently expressed on CD4 and CD8 thymocytes as well as activated T and B-lymphocytes and myeloid cells. Additionally, Pdcd1 mRNA is expressed in developing B-lymphocytes during the pro-B-cell stage. The RMP1-14 antibody has been reported to block the binding of PD-1 to its ligands (B7-H1 and B7-DC) and to inhibit T cell proliferation and cytokine production co-stimulated by macrophages (but not by dendritic cells and B cells).

Application Notes

Optimal dilution of the PD1 antibody should be determined by the researcher.

Immunogen

PDCD1 transfected BHK cells were used as the immunogen for the PD1 antibody.

Storage

Store the PD1 antibody at 2-8oC (with azide) or aliquot and store at -20oC or colder (without azide).

Cross
Bulk Quote Request Form
Name*:
Organization*:
Email*:
Phone Number*:
Catalog No.*:
Comments and Specifics(amount, formulation, etc.)*:
Validation code: Captchapackage Image


Can't read the image? click here to refresh.
    *required field

Your bulk quote request has been submitted successfully!

Please contact us if you have any questions.