• Tel: 858.663.9055
  • SeparatorEmail: info@nsjbio.com
  • Tel: 858.663.9055
  • Email: info@nsjbio.com
Home >> Antibodies >> PCBP1 Antibody

PCBP1 Antibody (R35929)

  Catalog No Formulation Size Price (USD)  
Image R35929-100UG 0.5 mg/ml in 1X TBS, pH7.3, with 0.5% BSA (US sourced) and 0.02% sodium azide 100 ug 475
Bulk quote request
Western blot testing of PBMC lysate with PCBP1 antibody at 0.1ug/ml. Predicted/observed molecular weight: ~38kDa.
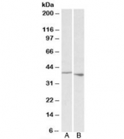
Western blot of rat A) spleen and B) thymus lysate with PCBP1 antibody at 0.1ug/ml. Predicted/observed molecular weight: ~38kDa.
Availability 1-3 business days
Species Reactivity Human, Rat
Predicted Reactivity Dog, Mouse
Format Antigen affinity purified
Host Goat
Clonality Polyclonal (goat origin)
Isotype Goat Ig
Purity Antigen affinity
Gene ID 5093
Applications Western Blot : 0.1-0.3ug/ml
ELISA (peptide) LOD : 1:8000
Limitations This PCBP1 antibody is available for research use only.
Review this product on BioCompare and get a $20 Amazon gift card

Related Products

  • Applications : WB, ELISA (peptide)
    Reactivity : Human
    Pred. Reactivity : Cow, Dog, Mouse, Pig, Rat
  • Applications : WB, IHC-P, FACS, Direct ELISA
    Reactivity : Human, Mouse, Rat

Description

Additional name(s) for this target protein: Poly(rC) binding protein 1

Application Notes

Optimal dilution of the PCBP1 antibody should be determined by the researcher.

Immunogen

Amino acids SIQGQHTISPLD were used as the immunogen for this PCBP1 antibody.

Storage

Aliquot and store the PCBP1 antibody at -20oC.

Cross
Bulk Quote Request Form
Name*:
Organization*:
Email*:
Phone Number*:
Catalog No.*:
Comments and Specifics(amount, formulation, etc.)*:
Validation code: Captchapackage Image


Can't read the image? click here to refresh.
    *required field

Your bulk quote request has been submitted successfully!

Please contact us if you have any questions.