• Tel: 858.663.9055
  • SeparatorEmail: info@nsjbio.com
  • Tel: 858.663.9055
  • Email: info@nsjbio.com
Home >> Antibodies >> PAX-5 Antibody

PAX-5 Antibody [clone RM331] (R20355)

  Catalog No Formulation Size Price (USD)  
Image R20355-0.1ML Antibody in PBS with 50% glycerol, 1% BSA and 0.09% sodium azide 100 ul 439
Microvalidated Recrabbitmono
Bulk quote request
Western blot testing of human Raji cell lysate with PAX-5 antibody at 1:1000. Predicted molecular weight ~42 kDa.
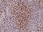
IHC staining of FFPE human tonsil tissue with recombinant PAX-5 antibody at 1:1000.
Availability 1-3 business days
Species Reactivity Human
Format Purified
Host Rabbit
Clonality Recombinant Rabbit Monoclonal
Isotype Rabbit IgG
Clone Name RM331
Purity Protein A purified from animal origin-free supernatant
UniProt Q02548
Localization Nuclear
Applications Immunohistochemistry (FFPE) : 1:500-1:1000
Western Blot : 1:1000-1:2000
Limitations This recombinant PAX-5 antibody is available for research use only.
Review this product on BioCompare and get a $20 Amazon gift card

Related Products

Description

This antibody reacts to human Paired box protein Pax-5.

Application Notes

The stated application concentrations are suggested starting points. Titration of the recombinant PAX-5 antibody may be required due to differences in protocols and secondary/substrate sensitivity.

Immunogen

A peptide corresponding to C-terminus of human Paired box protein Pax-5 was used as the immunogen for the recombinant PAX-5 antibody.

Storage

Store the recombinant PAX-5 antibody at -20oC.

Cross
Bulk Quote Request Form
Name*:
Organization*:
Email*:
Phone Number*:
Catalog No.*:
Comments and Specifics(amount, formulation, etc.)*:
Validation code: Captchapackage Image


Can't read the image? click here to refresh.
    *required field

Your bulk quote request has been submitted successfully!

Please contact us if you have any questions.