• Tel: 858.663.9055
  • SeparatorEmail: info@nsjbio.com
  • Tel: 858.663.9055
  • Email: info@nsjbio.com
Home >> Antibodies >> Pancreatic Polypeptide Antibody

Pancreatic Polypeptide Antibody (R36274)

  Catalog No Formulation Size Price (USD)  
Image R36274-100UG 0.5 mg/ml in 1X TBS, pH7.3, with 0.5% BSA (US sourced) and 0.02% sodium azide 100 ug 475
Bulk quote request
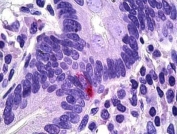
IHC testing of FFPE human pancreas with Pancreatic Polypeptide antibody at 3ug/ml. HIER: microwaved with pH9 Tris/EDTA buffer, HRP-staining. Strong cytoplasmic staining of cells at the periphery of the pancreatic islets is seen.
IHC testing of FFPE human pancreas with Pancreatic Polypeptide antibody at 5ug/ml. HIER: steamed antigen retrieval with pH6 citrate buffer; AP-staining.
IHC testing of FFPE human intestine with Pancreatic Polypeptide antibody at 5ug/ml. HIER: steamed antigen retrieval with pH6 citrate buffer; AP-staining.
Availability 1-3 business days
Species Reactivity Human
Predicted Reactivity Mouse, Rat, Dog
Format Antigen affinity purified
Host Goat
Clonality Polyclonal (goat origin)
Isotype Goat Ig
Purity Antigen affinity
Gene ID 5539
Localization Cytoplasmic, secreted
Applications Immunohistochemistry (FFPE) : 3-6ug/ml
ELISA (peptide) LOD : 1:32000
Limitations This Pancreatic Polypeptide antibody is available for research use only.
Review this product on BioCompare and get a $20 Amazon gift card

Description

Additional name(s) for this target protein: Pancreatic polypeptide Y; PPY

Application Notes

Optimal dilution of the Pancreatic Polypeptide antibody should be determined by the researcher.

Immunogen

Amino acids TRPRYGKRHKEDT were used as the immunogen for this Pancreatic Polypeptide antibody.

Storage

Aliquot and store the Pancreatic Polypeptide antibody at -20oC.

Cross
Bulk Quote Request Form
Name*:
Organization*:
Email*:
Phone Number*:
Catalog No.*:
Comments and Specifics(amount, formulation, etc.)*:
Validation code: Captchapackage Image


Can't read the image? click here to refresh.
    *required field

Your bulk quote request has been submitted successfully!

Please contact us if you have any questions.