- Tel: 858.663.9055
- 
									 Email: info@nsjbio.com Email: info@nsjbio.com
- Tel: 858.663.9055
- Email: info@nsjbio.com
 Email: info@nsjbio.com
Email: info@nsjbio.com
								Related Products
| 
 | 
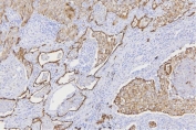
Cytokeratins are specific markers of epithelial cell differentiation and cytokeratin antibodies have been widely used as tools in tumor identification and classification. This pan Cytokeratin antibody is a broadly reactive reagent which recognizes epitopes present in most human epithelial tissues.
The stated application concentrations are suggested starting amounts. Titration of the pan Cytokeratin antibody may be required due to differences in protocols and secondary/substrate sensitivity.
Cytokeratin from human epidermis was used as the immunogen for this pan Cytokeratin antibody.
After reconstitution, the pan Cytokeratin antibody can be stored for up to one month at 4oC. For long-term, aliquot and store at -20oC. Avoid repeated freezing and thawing.
 
Your bulk quote request has been submitted successfully!
Please contact us if you have any questions.